Antibody data
- Antibody Data
- Antigen structure
- References [0]
- Comments [0]
- Validations
- Western blot [1]
Submit
Validation data
Reference
Comment
Report error
- Product number
- RQ7886 - Provider product page

- Provider
- NSJ Bioreagents
- Product name
- Otoconin 90 Antibody / OC90
- Antibody type
- Polyclonal
- Description
- This highly specific Otoconin 90 antibody is suitable for use in Western blot/Direct ELISA applications with human, mouse and rat samples.
- Reactivity
- Human, Mouse, Rat
- Host
- Rabbit
- Conjugate
- Unconjugated
- Vial size
- 100 ug
- Concentration
- 0.5mg/ml if reconstituted with 0.2ml sterile DI water
- Storage
- After reconstitution, the Otoconin 90 antibody can be stored for up to one month at 4oC. For long-term, aliquot and store at -20oC. Avoid repeated freezing and thawing.
No comments: Submit comment
Supportive validation
- Submitted by
- NSJ Bioreagents (provider)
- Main image

- Experimental details
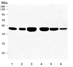
- Western blot testing of 1) human HeLa, 2) human SH-SY5Y, 3) rat brain, 4) mouse brain, 5) mouse testis and 6) mouse RAW246.7 cell lysate with Otoconin 90 antibody. Predicted molecular weight ~52 kDa.