Antibody data
- Antibody Data
- Antigen structure
- References [0]
- Comments [0]
- Validations
- Immunohistochemistry [1]
Submit
Validation data
Reference
Comment
Report error
- Product number
- GTX87144 - Provider product page

- Provider
- GeneTex
- Proper citation
- GeneTex Cat#GTX87144, RRID:AB_10724521
- Product name
- OR4K2 antibody
- Antibody type
- Polyclonal
- Host
- Rabbit
- Vial size
- 100 µg
No comments: Submit comment
Supportive validation
- Submitted by
- GeneTex (provider)
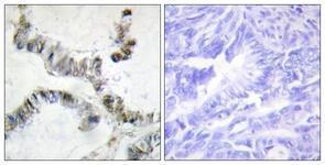
- Main image

- Experimental details
- Immunohistochemistry analysis of paraffin-embedded human colon carcinoma, using SMF Antibody. The picture on the right is treated with the synthesized peptide.