Antibody data
- Antibody Data
- Antigen structure
- References [0]
- Comments [0]
- Validations
- Immunohistochemistry [1]
Submit
Validation data
Reference
Comment
Report error
- Product number
- PA5-48311 - Provider product page

- Provider
- Invitrogen Antibodies
- Product name
- Anti-OR4K2 Polyclonal Antibody
- Antibody type
- Polyclonal
- Antigen
- Synthetic peptide
- Description
- Predicted to react with bovine, monkey and mouse based on sequence homology.
- Reactivity
- Human
- Host
- Rabbit
- Isotype
- IgG
- Vial size
- 400 µl
- Concentration
- Lot Dependent
- Storage
- -20° C, Avoid Freeze/Thaw Cycles
No comments: Submit comment
Supportive validation
- Submitted by
- Invitrogen Antibodies (provider)
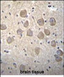
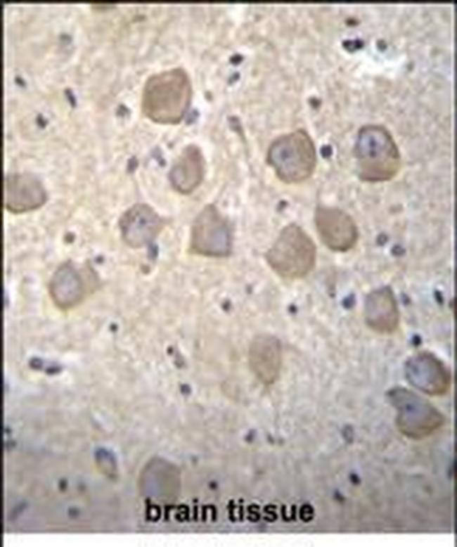
- Main image

- Experimental details
- Immunohistochemical analysis of OR4K2 in formalin fixed and paraffin embedded human brain tissue. Samples were probed with a OR4K2 Antibody (C-term) (Product # PA5-48311) followed by peroxidase conjugation of the secondary antibody and DAB staining.