Antibody data
- Antibody Data
- Antigen structure
- References [0]
- Comments [0]
- Validations
- Western blot [3]
- Immunohistochemistry [8]
Submit
Validation data
Reference
Comment
Report error
- Product number
- LS-B15451 - Provider product page

- Provider
- LSBio
- Product name
- IHC-plus™ HIST1H3D Antibody LS-B15451
- Antibody type
- Polyclonal
- Description
- Affinity purified
- Reactivity
- Human, Mouse, Rat
- Host
- Rabbit
- Isotype
- IgG
- Storage
- Store at -20°C. Avoid freeze-thaw cycles.
No comments: Submit comment
Supportive validation
- Submitted by
- LSBio (provider)
- Main image

- Experimental details
- Western blot analysis of extracts of various cell lines.
- Submitted by
- LSBio (provider)
- Main image

- Experimental details
- Western blot analysis of extracts of various cell lines.
- Submitted by
- LSBio (provider)
- Main image

- Experimental details
- Western blot analysis of extracts of various cell lines.
Supportive validation
- Submitted by
- LSBio (provider)
- Main image

- Experimental details
- Immunohistochemistry of paraffin-embedded rat spleen tissue.
- Submitted by
- LSBio (provider)
- Main image

- Experimental details
- Immunohistochemistry of paraffin-embedded human well-differentiated squamous skin carcinoma tissue.
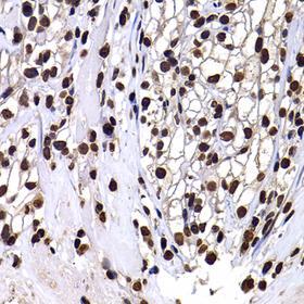
- Submitted by
- LSBio (provider)
- Main image

- Experimental details
- Immunohistochemistry of paraffin-embedded human kidney tissue.
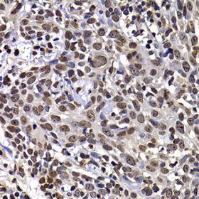
- Submitted by
- LSBio (provider)
- Main image

- Experimental details
- Immunohistochemistry of paraffin-embedded human kidney cancer tissue.
- Submitted by
- LSBio (provider)
- Main image

- Experimental details
- Immunohistochemistry of paraffin-embedded human stomach tissue.
- Submitted by
- LSBio (provider)
- Main image

- Experimental details
- Immunohistochemistry of paraffin-embedded mouse cancer tissue.
- Submitted by
- LSBio (provider)
- Main image

- Experimental details
- Immunohistochemistry of paraffin-embedded human well-differentiated squamous skin carcinoma tissue.
- Submitted by
- LSBio (provider)
- Main image

- Experimental details
- Immunohistochemistry of paraffin-embedded human kidney cancer tissue.