ABIN192003
antibody from antibodies-online
Targeting: DEFB103A
DEFB-3, DEFB103, DEFB3, HBD-3, HBD3, HBP-3, HBP3
Antibody data
- Antibody Data
- Antigen structure
- References [0]
- Comments [0]
- Validations
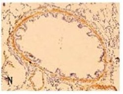
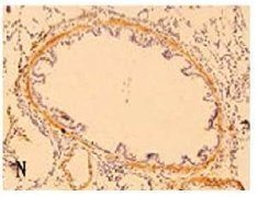
- Immunohistochemistry [1]
Submit
Validation data
Reference
Comment
Report error
- Product number
- ABIN192003 - Provider product page

- Provider
- antibodies-online
- Product name
- anti-Defensin, beta 103A (DEFB103A) (AA 6-22) antibody
- Antibody type
- Monoclonal
- Description
- Protein G Chromatography
- Reactivity
- Human, Rat
- Host
- Mouse
- Epitope
- AA 6-22
- Isotype
- IgG
- Antibody clone number
- L3-18b-E1
- Vial size
- 0.1 mg
- Storage
- Store lyophilized at 2-8°C and reconstituted at -20°C. Avoid repeated freezing and thawing.Shelf life: One year from despatch.
No comments: Submit comment
Supportive validation
- Submitted by
- antibodies-online (provider)
- Main image

- Experimental details
- IHC