Antibody data
- Antibody Data
- Antigen structure
- References [1]
- Comments [0]
- Validations
- Immunohistochemistry [1]
Submit
Validation data
Reference
Comment
Report error
- Product number
- NBP1-83877 - Provider product page

- Provider
- Novus Biologicals
- Proper citation
- Novus Cat#NBP1-83877, RRID:AB_11006989
- Product name
- Rabbit Polyclonal FGD5 Antibody
- Antibody type
- Polyclonal
- Description
- Immunogen affinity purified. Specificity of human FGD5 antibody verified on a Protein Array containing target protein plus 383 other non-specific proteins.
- Reactivity
- Human
- Host
- Rabbit
- Isotype
- IgG
- Vial size
- 0.1 ml
- Storage
- Store at 4C short term. Aliquot and store at -20C long term. Avoid freeze-thaw cycles.
Submitted references Rap1 potentiates endothelial cell junctions by spatially controlling myosin II activity and actin organization.
Ando K, Fukuhara S, Moriya T, Obara Y, Nakahata N, Mochizuki N
The Journal of cell biology 2013 Sep 16;202(6):901-16
The Journal of cell biology 2013 Sep 16;202(6):901-16
No comments: Submit comment
Supportive validation
- Submitted by
- Novus Biologicals (provider)
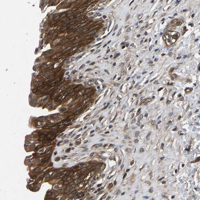
- Main image

- Experimental details
- Immunohistochemistry-Paraffin: FGD5 Antibody [NBP1-83877] - Staining of human urinary bladder shows strong cytoplasmic positivity in urothelial cells.