Antibody data
- Antibody Data
- Antigen structure
- References [0]
- Comments [0]
- Validations
- Western blot [1]
- Immunohistochemistry [1]
- Flow cytometry [1]
Submit
Validation data
Reference
Comment
Report error
- Product number
- OAAB05229 - Provider product page

- Provider
- Aviva Systems Biology
- Product name
- KLC1 antibody - center region
- Antibody type
- Polyclonal
- Reactivity
- Human
- Host
- Rabbit
- Vial size
- 400ul
- Storage
- Maintain refrigerated at 2-8 deg C for up to 6 months. For long term storage store at -20 deg C in small aliquots to prevent freeze-thaw cycles.
No comments: Submit comment
Supportive validation
- Submitted by
- Aviva Systems Biology (provider)
- Main image

- Experimental details
- Western blot analysis of KLC1 Antibody (Center) in Y79 cell lysates (35ug/lane). KLC1 (arrow) was detected using the purified Pab.
- Sample type
- Y79 cell line lysates
- Primary Ab dilution
- 1.0 µg/mL
- Protocol
- Protocol
Supportive validation
- Submitted by
- Aviva Systems Biology (provider)
- Main image

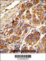
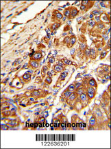
- Experimental details
- Formalin-fixed and paraffin-embedded human hepatocarcinoma with KLC1 Antibody (Center), which was peroxidase-conjugated to the secondary antibody, followed by DAB staining. This data demonstrates the use of this antibody for immunohistochemistry; clinical relevance has not been evaluated.
- Sample type
- human hepatocarcinoma with KLC1 Antibody (Center), which was peroxidase-conjugated to the secondary antibody, followed by DAB
- Primary Ab dilution
- 1.0 µg/mL
- Protocol
- Protocol
Supportive validation
- Submitted by
- Aviva Systems Biology (provider)
- Main image

- Experimental details
- Flow cytometric analysis of widr cells using KLC1 Antibody (Center)(bottom histogram) compared to a negative control cell (top histogram). FITC-conjugated goat-anti-rabbit secondary antibodies were used for the analysis.
- Sample type
- widr cells
- Primary Ab dilution
- 1.0 µg/mL
- Protocol
- Protocol