LS-C173262
antibody from LSBio
		Targeting: LGALS3BP
		
		90K, BTBD17B, CyCAP, gp90, M2BP, MAC-2-BP, TANGO10B	
	
	
	
	
Antibody data
- Antibody Data
- Antigen structure
- References [0]
- Comments [0]
- Validations
- Western blot [1]
- Immunohistochemistry [8]
Submit
Validation data
Reference
Comment
Report error
- Product number
- LS-C173262 - Provider product page 
- Provider
- LSBio
- Product name
- MAC-2-BP / LGALS3BP Antibody (clone OTI3G8) LS-C173262
- Antibody type
- Monoclonal
- Description
- Protein A/G purified
- Reactivity
- Human
- Host
- Mouse
- Isotype
- IgG
- Antibody clone number
- OTI3G8
- Storage
- Store at -20°C. Avoid freeze-thaw cycles.
				No comments: Submit comment	
	
			
							
					Enhanced validation
					
									
				
				- Submitted by
- LSBio (provider)
- Enhanced method
- Genetic validation
- Main image
 
- Experimental details
- HEK293T cells were transfected with the pCMV6-ENTRY control (Left lane) or pCMV6-ENTRY LGALS3BP (Right lane) cDNA for 48 hrs and lysed. Equivalent amounts of cell lysates (5 ug per lane) were separated by SDS-PAGE and immunoblotted with anti-LGALS3BP.
							
					Enhanced validation
					
									
				
		- Submitted by
- LSBio (provider)
- Enhanced method
- Genetic validation
- Main image
 
- Experimental details
- IHC of paraffin-embedded Adenocarcinoma of Human endometrium tissue using anti-LGALS3BP mouse monoclonal antibody.
- Submitted by
- LSBio (provider)
- Enhanced method
- Genetic validation
- Main image
 
- Experimental details
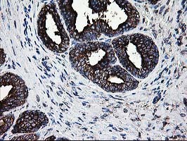
- IHC of paraffin-embedded Human prostate tissue using anti-LGALS3BP mouse monoclonal antibody.
- Submitted by
- LSBio (provider)
- Enhanced method
- Genetic validation
- Main image
 
- Experimental details
- IHC of paraffin-embedded Carcinoma of Human bladder tissue using anti-LGALS3BP mouse monoclonal antibody.
- Submitted by
- LSBio (provider)
- Enhanced method
- Genetic validation
- Main image
 
- Experimental details
- IHC of paraffin-embedded Carcinoma of Human bladder tissue using anti-LGALS3BP mouse monoclonal antibody.
- Submitted by
- LSBio (provider)
- Enhanced method
- Genetic validation
- Main image
 
- Experimental details
- IHC of paraffin-embedded Adenocarcinoma of Human endometrium tissue using anti-LGALS3BP mouse monoclonal antibody.
- Submitted by
- LSBio (provider)
- Main image
 
- Experimental details
- IHC of paraffin-embedded Adenocarcinoma of Human endometrium tissue using anti-LGALS3BP mouse monoclonal antibody.
- Submitted by
- LSBio (provider)
- Main image
 
- Experimental details
- IHC of paraffin-embedded Human prostate tissue using anti-LGALS3BP mouse monoclonal antibody.
- Submitted by
- LSBio (provider)
- Main image
 
- Experimental details
- IHC of paraffin-embedded Carcinoma of Human bladder tissue using anti-LGALS3BP mouse monoclonal antibody.