TA503455
antibody from OriGene
Targeting: LGALS3BP
90K, BTBD17B, CyCAP, gp90, M2BP, MAC-2-BP, TANGO10B
Antibody data
- Antibody Data
- Antigen structure
- References [1]
- Comments [0]
- Validations
- Western blot [3]
- Immunocytochemistry [1]
- Immunohistochemistry [3]
- Flow cytometry [1]
Submit
Validation data
Reference
Comment
Report error
- Product number
- TA503455 - Provider product page

- Provider
- OriGene
- Proper citation
- OriGene Cat#TA503455, RRID:AB_11127062
- Product name
- LGALS3BP mouse monoclonal antibody, clone OTI3G8 (formerly 3G8)
- Antibody type
- Monoclonal
- Description
- LGALS3BP mouse monoclonal antibody, clone OTI3G8 (formerly 3G8)
- Host
- Mouse
- Conjugate
- Unconjugated
- Epitope
- LGALS3BP
- Isotype
- IgG
- Antibody clone number
- OTI3G8
- Vial size
- 100 µl
- Concentration
- 1 mg/ml
Submitted references Characterization of the plasma proteome of nonhuman primates during Ebola virus disease or melioidosis: a host response comparison.
Ward MD, Brueggemann EE, Kenny T, Reitstetter RE, Mahone CR, Trevino S, Wetzel K, Donnelly GC, Retterer C, Norgren RB Jr, Panchal RG, Warren TK, Bavari S, Cazares LH
Clinical proteomics 2019;16:7
Clinical proteomics 2019;16:7
No comments: Submit comment
Supportive validation
- Submitted by
- OriGene (provider)
- Main image

- Experimental details
- HEK293T cells were transfected with the pCMV6-ENTRY control (Left lane) or pCMV6-ENTRY LGALS3BP (RC204918, Right lane) cDNA for 48 hrs and lysed. Equivalent amounts of cell lysates (5 ug per lane) were separated by SDS-PAGE and immunoblotted with anti-LGALS3BP.
- Validation comment
- WB
- Submitted by
- OriGene (provider)
- Main image

- Experimental details
- Western blot analysis of extracts (10ug) from 1 cell line by using anti-LGALS3BP monoclonal antibody at 1:200 dilution.
- Validation comment
- WB
- Submitted by
- OriGene (provider)
- Main image

- Experimental details
- Western blot analysis of extracts (10ug) from a mouse cell line and 3 different mouse tissues by using anti-LGALS3BP monoclonal antibody.(1:200)
- Validation comment
- WB
Supportive validation
- Submitted by
- OriGene (provider)
- Main image

- Experimental details
- Anti-LGALS3BP mouse monoclonal antibody (TA503455) immunofluorescent staining of COS7 cells transiently transfected by pCMV6-ENTRY LGALS3BP(RC204918).
- Validation comment
- IF
Supportive validation
- Submitted by
- OriGene (provider)
- Main image

- Experimental details
- Immunohistochemical staining of paraffin-embedded Adenocarcinoma of Human endometrium tissue using anti-LGALS3BP mouse monoclonal antibody. (Heat-induced epitope retrieval by 10mM citric buffer, pH6.0, 100C for 10min, TA503455)
- Validation comment
- IHC
- Submitted by
- OriGene (provider)
- Main image

- Experimental details
- Immunohistochemical staining of paraffin-embedded Carcinoma of Human bladder tissue using anti-LGALS3BP mouse monoclonal antibody. (Heat-induced epitope retrieval by 10mM citric buffer, pH6.0, 100C for 10min, TA503455)
- Validation comment
- IHC
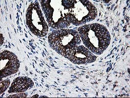
- Submitted by
- OriGene (provider)
- Main image

- Experimental details
- Immunohistochemical staining of paraffin-embedded Human prostate tissue within the normal limits using anti-LGALS3BP mouse monoclonal antibody. (Heat-induced epitope retrieval by 10mM citric buffer, pH6.0, 100C for 10min, TA503455)
- Validation comment
- IHC
Supportive validation
- Submitted by
- OriGene (provider)
- Main image

- Experimental details
- HEK293T cells transfected with either RC204918 overexpress plasmid(Red) or empty vector control plasmid(Blue) were immunostained by anti-LGALS3BP antibody(TA503455), and then analyzed by flow cytometry.
- Validation comment
- FC