60066-1-IG
antibody from Invitrogen Antibodies
Targeting: LGALS3BP
90K, BTBD17B, CyCAP, gp90, M2BP, MAC-2-BP, TANGO10B
Antibody data
- Antibody Data
- Antigen structure
- References [0]
- Comments [0]
- Validations
- Western blot [2]
- Immunocytochemistry [1]
- Immunohistochemistry [10]
- Other assay [2]
Submit
Validation data
Reference
Comment
Report error
- Product number
- 60066-1-IG - Provider product page

- Provider
- Invitrogen Antibodies
- Product name
- LGALS3BP Monoclonal Antibody (2D8E11)
- Antibody type
- Monoclonal
- Antigen
- Other
- Reactivity
- Human
- Host
- Mouse
- Isotype
- IgG
- Antibody clone number
- 2D8E11
- Vial size
- 150 µL
- Concentration
- 1.4 mg/mL
- Storage
- -20°C
No comments: Submit comment
Supportive validation
- Submitted by
- Invitrogen Antibodies (provider)
- Main image

- Experimental details
- Human blood tissue were subjected to SDS PAGE followed by western blot with 60066-1-IG ( LGALS3BP Antibody) at dilution of 1:2000 incubated at room temperature for 1.5 hours.
- Submitted by
- Invitrogen Antibodies (provider)
- Main image

- Experimental details
- Human blood tissue were subjected to SDS PAGE followed by western blot with 60066-1-Ig (LGALS3BP Antibody) at dilution of 1:4000 incubated at room temperature for 1.5 hours.
Supportive validation
- Submitted by
- Invitrogen Antibodies (provider)
- Main image

- Experimental details
- Immunofluorescent analysis of ( -20°C Ethanol ) fixed A431 cells using 60066-1-IG (LGALS3BP antibody) at dilution of 1:100 and Alexa Fluor 488-conjugated AffiniPure Goat Anti-Mouse IGG (H+L).
Supportive validation
- Submitted by
- Invitrogen Antibodies (provider)
- Main image

- Experimental details
- Immunohistochemistry of paraffin-embedded human breast cancer slide using 60066-1-Ig (LGALS3BP Antibody) at dilution of 1:50.
- Submitted by
- Invitrogen Antibodies (provider)
- Main image

- Experimental details
- Immunohistochemistry of paraffin-embedded human breast cancer slide using 60066-1-Ig (LGALS3BP Antibody) at dilution of 1:50.
- Submitted by
- Invitrogen Antibodies (provider)
- Main image

- Experimental details
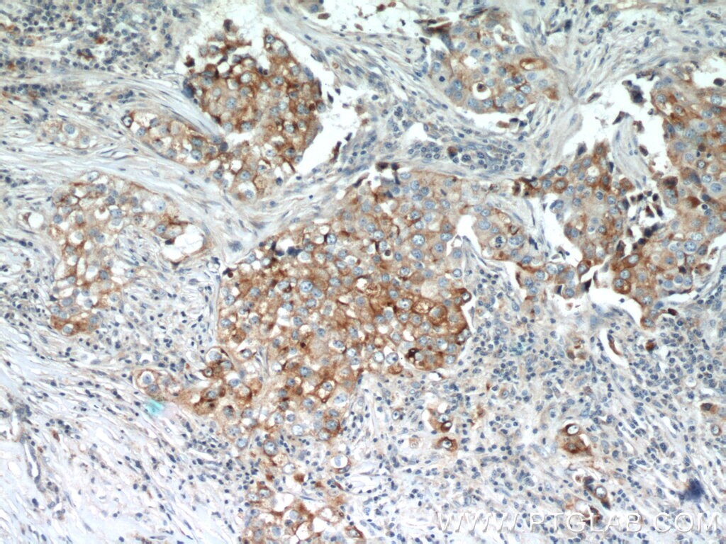
- Immunohistochemistry of paraffin-embedded human breast cancer tissue slide using 60066-1-Ig (LGALS3BP Antibody) at dilution of 1:50 (under 10x lens).
- Submitted by
- Invitrogen Antibodies (provider)
- Main image

- Experimental details
- Immunohistochemistry of paraffin-embedded human breast cancer tissue slide using 60066-1-Ig (LGALS3BP Antibody) at dilution of 1:50 (under 40x lens).
- Submitted by
- Invitrogen Antibodies (provider)
- Main image

- Experimental details
- Immunohistochemistry of paraffin-embedded human skin cancer tissue slide using 60066-1-Ig (LGALS3BP Antibody) at dilution of 1:50 (under 10x lens).
- Submitted by
- Invitrogen Antibodies (provider)
- Main image

- Experimental details
- Immunohistochemistry of paraffin-embedded human skin cancer tissue slide using 60066-1-Ig (LGALS3BP Antibody) at dilution of 1:50 (under 40x lens).
- Submitted by
- Invitrogen Antibodies (provider)
- Main image

- Experimental details
- Immunohistochemistry of paraffin-embedded human oesophagus cancer tissue slide using 60066-1-Ig (LGALS3BP Antibody) at dilution of 1:500 (under 10x lens). heat mediated antigen retrieved with Tris-EDTA buffer (pH 9).
- Submitted by
- Invitrogen Antibodies (provider)
- Main image

- Experimental details
- Immunohistochemistry of paraffin-embedded human oesophagus cancer tissue slide using 60066-1-Ig (LGALS3BP Antibody) at dilution of 1:500 (under 40x lens). heat mediated antigen retrieved with Tris-EDTA buffer (pH 9).
- Submitted by
- Invitrogen Antibodies (provider)
- Main image

- Experimental details
- Immunohistochemistry of paraffin-embedded human breast cancer tissue slide using 60066-1-IG ( LGALS3BP Antibody) at dilution of 1:500 (under 10x lens). heat mediated antigen retrieved with Tris-EDTA buffer (pH 9).
- Submitted by
- Invitrogen Antibodies (provider)
- Main image

- Experimental details
- Immunohistochemistry of paraffin-embedded human breast cancer tissue slide using 60066-1-IG ( LGALS3BP Antibody) at dilution of 1:500 (under 40x lens). heat mediated antigen retrieved with Tris-EDTA buffer (pH 9).
Supportive validation
- Submitted by
- Invitrogen Antibodies (provider)
- Main image

- Experimental details
- IP result of anti-LGALS3BP (IP:60066-1-IG, 5ug; Detection:60066-1-IG 1:1000) with human plasma tissue lysate 4000ug.
- Submitted by
- Invitrogen Antibodies (provider)
- Main image

- Experimental details
- IP result of anti-LGALS3BP (IP:60066-1-Ig, 5 ug; Detection:60066-1-Ig 1:300) with human plasma tissue lysate 4000 ug.