Antibody data
- Antibody Data
- Antigen structure
- References [4]
- Comments [0]
- Validations
- Western blot [2]
- Immunohistochemistry [5]
Submit
Validation data
Reference
Comment
Report error
- Product number
- NBP1-80886 - Provider product page

- Provider
- Novus Biologicals
- Proper citation
- Novus Cat#NBP1-80886, RRID:AB_11029704
- Product name
- Rabbit Polyclonal SRGN Antibody
- Antibody type
- Polyclonal
- Description
- Immunogen affinity purified. Specificity of human SRGN antibody verified on a Protein Array containing target protein plus 383 other non-specific proteins.
- Reactivity
- Human
- Host
- Rabbit
- Isotype
- IgG
- Vial size
- 0.1 ml
- Storage
- Store at 4C short term. Aliquot and store at -20C long term. Avoid freeze-thaw cycles.
Submitted references Serglycin in Quiescent and Proliferating Primary Endothelial Cells.
Serglycin proteoglycan is required for multiple myeloma cell adhesion, in vivo growth, and vascularization.
Monocyte-to-macrophage differentiation: synthesis and secretion of a complex extracellular matrix.
From gene expression analysis to tissue microarrays: a rational approach to identify therapeutic and diagnostic targets in lymphoid malignancies.
Reine TM, Vuong TT, Rutkovskiy A, Meen AJ, Vaage J, Jenssen TG, Kolset SO
PloS one 2015;10(12):e0145584
PloS one 2015;10(12):e0145584
Serglycin proteoglycan is required for multiple myeloma cell adhesion, in vivo growth, and vascularization.
Purushothaman A, Toole BP
The Journal of biological chemistry 2014 Feb 28;289(9):5499-509
The Journal of biological chemistry 2014 Feb 28;289(9):5499-509
Monocyte-to-macrophage differentiation: synthesis and secretion of a complex extracellular matrix.
Chang MY, Chan CK, Braun KR, Green PS, O'Brien KD, Chait A, Day AJ, Wight TN
The Journal of biological chemistry 2012 Apr 20;287(17):14122-35
The Journal of biological chemistry 2012 Apr 20;287(17):14122-35
From gene expression analysis to tissue microarrays: a rational approach to identify therapeutic and diagnostic targets in lymphoid malignancies.
Ek S, Andréasson U, Hober S, Kampf C, Pontén F, Uhlén M, Merz H, Borrebaeck CA
Molecular & cellular proteomics : MCP 2006 Jun;5(6):1072-81
Molecular & cellular proteomics : MCP 2006 Jun;5(6):1072-81
No comments: Submit comment
Supportive validation
- Submitted by
- Novus Biologicals (provider)
- Main image

- Experimental details
- Western Blot: SRGN Antibody [NBP1-80886] - Analysis in human cell lines A-549 and Caco-2. Corresponding RNA-seq data are presented for the same cell lines. Loading control: Anti-GAPDH.
- Submitted by
- Novus Biologicals (provider)
- Main image

- Experimental details
- Western Blot: SRGN Antibody [NBP1-80886] - Analysis in human cell line HL-60.
Supportive validation
- Submitted by
- Novus Biologicals (provider)
- Main image

- Experimental details
- Immunohistochemistry-Paraffin: SRGN Antibody [NBP1-80886] - Staining of human bone marrow shows high expression.
- Submitted by
- Novus Biologicals (provider)
- Main image

- Experimental details
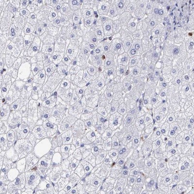
- Immunohistochemistry-Paraffin: SRGN Antibody [NBP1-80886] - Staining of human liver shows low expression as expected.
- Submitted by
- Novus Biologicals (provider)
- Main image

- Experimental details
- Immunohistochemistry-Paraffin: SRGN Antibody [NBP1-80886] - Staining in human bone marrow and liver tissues using anti-SRGN antibody. Corresponding SRGN RNA-seq data are presented for the same tissues.
- Submitted by
- Novus Biologicals (provider)
- Main image

- Experimental details
- Immunohistochemistry: SRGN Antibody [NBP1-80886] - Immunohistochemical staining of human tonsil shows moderate cytoplasmic positivity in germinal center cells.
- Submitted by
- Novus Biologicals (provider)
- Main image

- Experimental details
- Immunohistochemistry: SRGN Antibody [NBP1-80886] - Immunohistochemical staining of human gastrointestinal shows moderate cytoplasmic positivity in lymphoid cells.