Antibody data
- Antibody Data
- Antigen structure
- References [1]
- Comments [0]
- Validations
- Immunocytochemistry [2]
- Immunohistochemistry [3]
- Other assay [1]
Submit
Validation data
Reference
Comment
Report error
- Product number
- PA5-63228 - Provider product page

- Provider
- Invitrogen Antibodies
- Product name
- CASKIN1 Polyclonal Antibody
- Antibody type
- Polyclonal
- Antigen
- Recombinant protein fragment
- Description
- Immunogen sequence: GKEQELVQAV KAEDVGTAQR LLQRPRPGKA KLLGSTKKIN VNFQDPDGFS A Highest antigen sequence identity to the following orthologs: Mouse - 100%, Rat - 100%.
- Reactivity
- Human
- Host
- Rabbit
- Isotype
- IgG
- Vial size
- 100 μL
- Concentration
- 0.2 mg/mL
- Storage
- Store at 4°C short term. For long term storage, store at -20°C, avoiding freeze/thaw cycles.
Submitted references The Human Hippocampus in Parkinson's Disease: An Integrative Stereological and Proteomic Study.
Villar-Conde S, Astillero-Lopez V, Gonzalez-Rodriguez M, Villanueva-Anguita P, Saiz-Sanchez D, Martinez-Marcos A, Flores-Cuadrado A, Ubeda-BaƱon I
Journal of Parkinson's disease 2021;11(3):1345-1365
Journal of Parkinson's disease 2021;11(3):1345-1365
No comments: Submit comment
Supportive validation
- Submitted by
- Invitrogen Antibodies (provider)
- Main image

- Experimental details
- Immunofluorescent staining of CASKIN1 in human cell line MCF7 using a CASKIN1 Polyclonal Antibody (Product # PA5-63228) shows localization to nucleus.
- Submitted by
- Invitrogen Antibodies (provider)
- Main image

- Experimental details
- Immunofluorescent staining of CASKIN1 in human cell line MCF7 using a CASKIN1 Polyclonal Antibody (Product # PA5-63228) shows localization to nucleus.
Supportive validation
- Submitted by
- Invitrogen Antibodies (provider)
- Main image

- Experimental details
- Immunohistochemical analysis of CASKIN1 in human cerebral cortex using CASKIN1 Polyclonal Antibody (Product # PA5-63228) shows high expression.
- Submitted by
- Invitrogen Antibodies (provider)
- Main image

- Experimental details
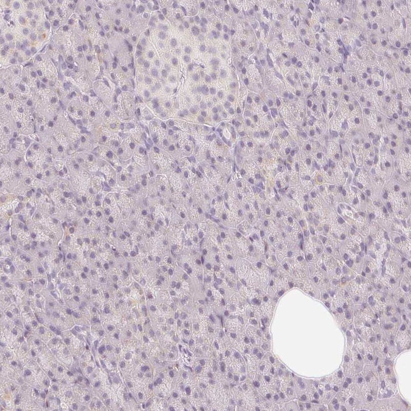
- Immunohistochemical staining of CASKIN1 in human pancreas using CASKIN1 Polyclonal Antibody (Product # PA5-63228) shows low expression as expected.
- Submitted by
- Invitrogen Antibodies (provider)
- Main image

- Experimental details
- Immunohistochemical staining of CASKIN1 in human cerebral cortex and pancreas tissues using CASKIN1 Polyclonal Antibody (Product # PA5-63228). Corresponding CASKIN1 RNA-seq data are presented for the same tissues.
Supportive validation
- Submitted by
- Invitrogen Antibodies (provider)
- Main image

- Experimental details
- Fig. 8 Coronal sections of the human hippocampus immunofluorescently stained for delta2-catenin (RED) and caskin-1 (GREEN) in NPD (A) and PD (B), REEP2 (GREEN) and PHYHIPL (RED) in NPD (C) and PD (D) and alpha-syntrophin (RED) in NPD (E) and NPD (F). Arrow heads and arrows point green and red markers, respectively. Scale bar 20mum (A-F). The mean+-SD of selected proteins comparing NPD and PD (G).