Antibody data
- Antibody Data
- Antigen structure
- References [0]
- Comments [0]
- Validations
- Immunohistochemistry [1]
Submit
Validation data
Reference
Comment
Report error
- Product number
- AF2355 - Provider product page

- Provider
- Novus Biologicals
- Product name
- Goat Polyclonal Glypican 2 Antibody
- Antibody type
- Polyclonal
- Description
- Immunogen affinity purified. Detects mouse Glypican 2 in direct ELISAs and Western blots. In direct ELISAs and Western blots, approximately 50% cross-reactivity with recombinant human (rh) rhGlypican 2 is observed and less than 1% cross-reactivity with rhGlypican 3, recombinant mouse Glypican 5, and rhGlypican 6 is observed.
- Reactivity
- Mouse
- Host
- Goat
- Conjugate
- Unconjugated
- Isotype
- IgG
- Vial size
- 100 ug
- Concentration
- LYOPH
- Storage
- Use a manual defrost freezer and avoid repeated freeze-thaw cycles. 12 months from date of receipt, -20 to -70 degreesC as supplied. 1 month, 2 to 8 degreesC under sterile conditions after reconstitution. 6 months, -20 to -70 degreesC under sterile conditions after reconstitution.
No comments: Submit comment
Supportive validation
- Submitted by
- Novus Biologicals (provider)
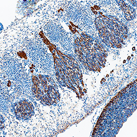
- Main image

- Experimental details
- Glypican 2 in Mouse Embryo. Glypican 2 was detected in perfusion fixed frozen sections of mouse embryo (11 d.p.c.) using Goat Anti-Mouse Glypican 2 Antigen Affinity-purified Polyclonal Antibody (Catalog # AF2355) at 0.3 µg/mL overnight at 4 °C. Tissue was stained using the Anti-Goat HRP-DAB Cell & Tissue Staining Kit (brown; Catalog # CTS008) and counterstained with hematoxylin (blue). Specific staining was localized to dorsal root ganglia. View our protocol for Chromogenic IHC Staining of Frozen Tissue Sections.