Antibody data
- Antibody Data
- Antigen structure
- References [0]
- Comments [0]
- Validations
- Western blot [2]
- Immunohistochemistry [3]
Submit
Validation data
Reference
Comment
Report error
- Product number
- AM09026PU-S - Provider product page

- Provider
- OriGene
- Product name
- PDCD4 mouse monoclonal antibody, clone k4C1, Purified
- Antibody type
- Monoclonal
- Description
- PDCD4 mouse monoclonal antibody, clone k4C1, Purified
- Host
- Mouse
- Conjugate
- Unconjugated
- Epitope
- PDCD4
- Isotype
- IgG
- Antibody clone number
- k4C1
- Vial size
- 50 µl
- Concentration
- 1.0 mg/ml
No comments: Submit comment
Supportive validation
- Submitted by
- OriGene (provider)
- Main image

- Experimental details
- Cell lysates of HepG2(40ug) were resolved by SDS-PAGE, transferred to NC membrane and probed with anti-human PDCD4 (1:2,000). Proteins were visualized using a goat anti-mouse secondary antibody conjugated to HRP and an ECL detection system.
- Validation comment
- WB
- Submitted by
- OriGene (provider)
- Main image

- Experimental details
- Western blot analysis: Cell lysates of HepG2 (40 ug) were resolved by SDS-PAGE, transferred to NC membrane and probed with anti-human PDCD4 antibody (1/2,000). Proteins were visualized using a goat anti-mouse secondary antibody conjugated to HRP and an ECL detection system.
- Validation comment
- WB
Supportive validation
- Submitted by
- OriGene (provider)
- Main image

- Experimental details
- Immunohistochemistry: -N PDCD4 antibody staining of Formalin-Fixed, Paraffin-Embedded Human Tonsil at 5 ug/ml followed by biotinylated anti-mouse IgG secondary antibody, alkaline phosphatase-streptavidin and chromogen.
- Validation comment
- IHC
- Submitted by
- OriGene (provider)
- Main image

- Experimental details
- Immunohistochemistry: -N PDCD4 antibody staining of Formalin-Fixed, Paraffin-Embedded Human Spleen at 5 ug/ml followed by biotinylated anti-mouse IgG secondary antibody, alkaline phosphatase-streptavidin and chromogen.
- Validation comment
- IHC
- Submitted by
- OriGene (provider)
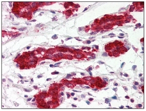
- Main image

- Experimental details
- Immunohistochemistry: -N PDCD4 antibody staining of Formalin-Fixed, Paraffin-Embedded Human Breast at 5 ug/ml followed by biotinylated anti-mouse IgG secondary antibody, alkaline phosphatase-streptavidin and chromogen.
- Validation comment
- IHC