Antibody data
- Antibody Data
- Antigen structure
- References [0]
- Comments [0]
- Validations
- Immunocytochemistry [4]
- Immunohistochemistry [3]
Submit
Validation data
Reference
Comment
Report error
- Product number
- PA5-99105 - Provider product page

- Provider
- Invitrogen Antibodies
- Product name
- FARP1 Polyclonal Antibody
- Antibody type
- Polyclonal
- Antigen
- Recombinant full-length protein
- Reactivity
- Human
- Host
- Rabbit
- Isotype
- IgG
- Vial size
- 100 μg
- Concentration
- 1 mg/mL
- Storage
- -20°C or -80°C if preferred
No comments: Submit comment
Supportive validation
- Submitted by
- Invitrogen Antibodies (provider)
- Main image

- Experimental details
- Immunofluorescent analysis of FARP1 in A549 cells using a FARP1 polyclonal antibody (Product # PA5-99105) at a dilution of 1:100. Cy3-congugated Goat Anti-Rabbit IgG secondary antibody was used.
- Submitted by
- Invitrogen Antibodies (provider)
- Main image

- Experimental details
- Immunofluorescent analysis of FARP1 in HepG2 cells using a FARP1 polyclonal antibody (Product # PA5-99105) at a dilution of 1:100. Alexa Fluor 488-congugated Goat Anti-Rabbit IgG(H+L) secondary antibody was used.
- Submitted by
- Invitrogen Antibodies (provider)
- Main image

- Experimental details
- Immunofluorescent analysis of FARP1 in A549 cells using a FARP1 polyclonal antibody (Product # PA5-99105) at a dilution of 1:100. Cy3-congugated Goat Anti-Rabbit IgG secondary antibody was used.
- Submitted by
- Invitrogen Antibodies (provider)
- Main image

- Experimental details
- Immunofluorescent analysis of FARP1 in HepG2 cells using a FARP1 polyclonal antibody (Product # PA5-99105) at a dilution of 1:100. Alexa Fluor 488-congugated Goat Anti-Rabbit IgG(H+L) secondary antibody was used.
Supportive validation
- Submitted by
- Invitrogen Antibodies (provider)
- Main image

- Experimental details
- Immunohistochemical analysis of FARP1 in paraffin embedded human liver cancer using a FARP1 polyclonal antibody (Product # PA5-99105) at a dilution of 1:100.
- Submitted by
- Invitrogen Antibodies (provider)
- Main image

- Experimental details
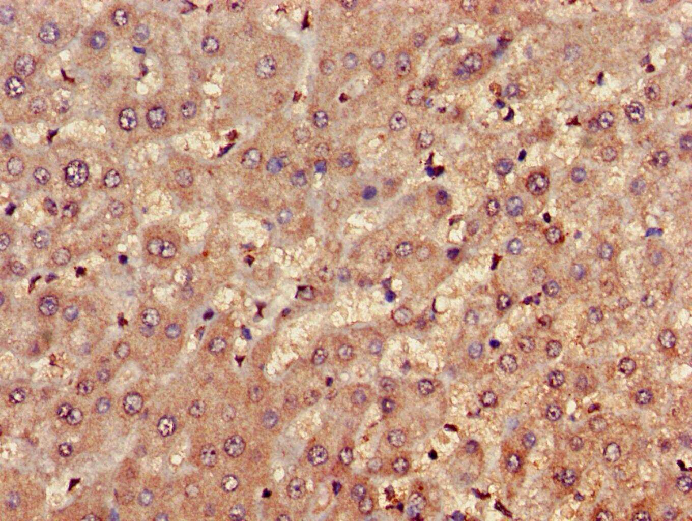
- Immunohistochemical analysis of FARP1 in paraffin embedded human liver tissue using a FARP1 polyclonal antibody (Product # PA5-99105) at a dilution of 1:100.
- Submitted by
- Invitrogen Antibodies (provider)
- Main image

- Experimental details
- Immunohistochemical analysis of FARP1 in paraffin embedded human liver tissue using a FARP1 polyclonal antibody (Product # PA5-99105) at a dilution of 1:100.