Antibody data
- Antibody Data
- Antigen structure
- References [0]
- Comments [0]
- Validations
- Western blot [1]
- Immunohistochemistry [1]
Submit
Validation data
Reference
Comment
Report error
- Product number
- AP54392PU-N - Provider product page

- Provider
- OriGene
- Product name
- Tau tubulin kinase 2 (TTBK2) (N-term) rabbit polyclonal antibody, Aff - Purified
- Antibody type
- Polyclonal
- Description
- Tau tubulin kinase 2 (TTBK2) (N-term) rabbit polyclonal antibody, Aff - Purified
- Host
- Rabbit
- Conjugate
- Unconjugated
- Epitope
- TTBK2
- Antibody clone number
- NULL
- Vial size
- 400 µl
- Concentration
- lot specific
No comments: Submit comment
Supportive validation
- Submitted by
- OriGene (provider)
- Main image

- Experimental details
- TTBK2 Antibody (N-term) western blot analysis in K562 cell line lysates (35 ug/lane). This demonstrates the TTBK2 antibody detected the TTBK2 protein (arrow).
- Validation comment
- WB
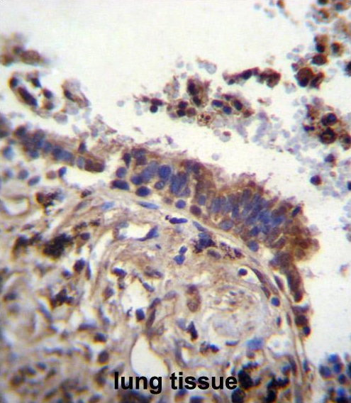
Supportive validation
- Submitted by
- OriGene (provider)
- Main image

- Experimental details
- TTBK2 Antibody (N-term) immunohistochemistry analysis in formalin fixed and paraffin embedded human lung tissue followed by peroxidase conjugation of the secondary antibody and DAB staining. This data demonstrates the use of TTBK2 Antibody (N-term) for immunohistochemistry. Clinical relevance has not been evaluated.
- Validation comment
- IHC