Antibody data
- Antibody Data
- Antigen structure
- References [0]
- Comments [0]
- Validations
- Immunohistochemistry [4]
Submit
Validation data
Reference
Comment
Report error
- Product number
- PA5-84253 - Provider product page

- Provider
- Invitrogen Antibodies
- Product name
- C16orf59 Polyclonal Antibody
- Antibody type
- Polyclonal
- Antigen
- Recombinant protein fragment
- Description
- Immunogen sequence: EKAVRVRRGI TKAGERDKAP SLKSRSIVTS SGTTASAPPH SPGQAGGHAS DTRPTKGLRQ TTVPAKGHPE RRLLSVGDGT RVGM
- Reactivity
- Human
- Host
- Rabbit
- Isotype
- IgG
- Vial size
- 100 μL
- Concentration
- 0.4 mg/mL
- Storage
- Store at 4°C short term. For long term storage, store at -20°C, avoiding freeze/thaw cycles.
No comments: Submit comment
Supportive validation
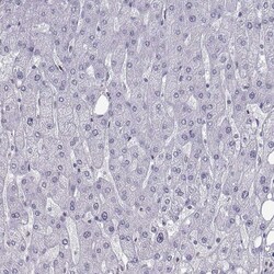
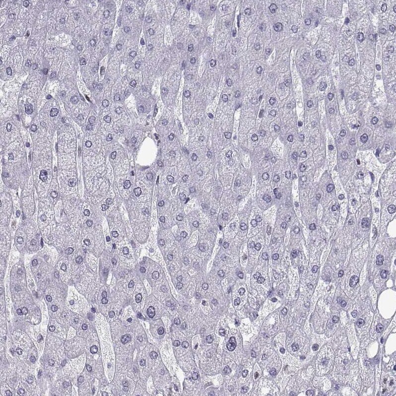
- Submitted by
- Invitrogen Antibodies (provider)
- Main image

- Experimental details
- Immunohistochemical analysis of C16orf59 in human liver using C16orf59 Polyclonal Antibody (Product # PA5-84253) shows no positivity in hepatocytes as expected.
- Submitted by
- Invitrogen Antibodies (provider)
- Main image

- Experimental details
- Immunohistochemical analysis of C16orf59 in human cerebral cortex using C16orf59 Polyclonal Antibody (Product # PA5-84253) shows no positivity in neurons as expected.
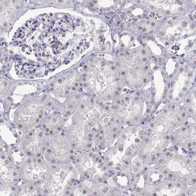
- Submitted by
- Invitrogen Antibodies (provider)
- Main image

- Experimental details
- Immunohistochemical analysis of C16orf59 in human kidney using C16orf59 Polyclonal Antibody (Product # PA5-84253) shows weak nuclear positivity in cells in tubules.
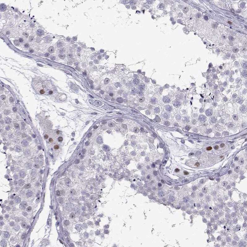
- Submitted by
- Invitrogen Antibodies (provider)
- Main image

- Experimental details
- Immunohistochemical analysis of C16orf59 in human testis using C16orf59 Polyclonal Antibody (Product # PA5-84253) shows moderate nuclear positivity in Leydig cells.