Antibody data
- Antibody Data
- Antigen structure
- References [0]
- Comments [0]
- Validations
- Western blot [1]
- Immunohistochemistry [1]
Submit
Validation data
Reference
Comment
Report error
- Product number
- LS-C446502 - Provider product page

- Provider
- LSBio
- Product name
- ZDHHC13 / HIP14L Antibody (N-Terminus, FITC) LS-C446502
- Antibody type
- Polyclonal
- Description
- Protein A purified
- Reactivity
- Human, Mouse, Rat, Guinea Pig, Simian
- Host
- Rabbit
- Conjugate
- Green dye
- Isotype
- IgG
- Storage
- Short term: store at 4°C. Long term: add glycerol to 40-50%, aliquot to avoid freeze-thaw cycles, and store at -20°C. Protect from light.
No comments: Submit comment
Enhanced validation
- Submitted by
- LSBio (provider)
- Enhanced method
- Genetic validation
- Main image

- Experimental details
- A: Marker, B: Jurkat Cell Lysate. This image was taken for the unconjugated form of this product. Other forms have not been tested.
Supportive validation
- Submitted by
- LSBio (provider)
- Enhanced method
- Genetic validation
- Main image

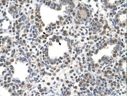
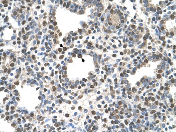
- Experimental details
- ZDHHC13 antibody ARP44398_T100-NP_001001483-ZDHHC13(zinc finger, DHHC-type containing 13) Antibody was used in IHC to stain formalin-fixed, paraffin-embedded human lung. This image was taken for the unconjugated form of this product. Other forms have not been tested.