Antibody data
- Antibody Data
- Antigen structure
- References [0]
- Comments [0]
- Validations
- Immunocytochemistry [2]
- Immunohistochemistry [3]
Submit
Validation data
Reference
Comment
Report error
- Product number
- PA5-61765 - Provider product page

- Provider
- Invitrogen Antibodies
- Product name
- CCDC42B Polyclonal Antibody
- Antibody type
- Polyclonal
- Antigen
- Recombinant protein fragment
- Description
- Immunogen sequence: FRLALQEKLS TKLPEQAEDH VPPVLRLLEK RQELVDADQA LQAQKEVFRT KTAALKQRWE QLEQKERELK GSFI Highest antigen sequence identity to the following orthologs: Mouse - 46%, Rat - 45%.
- Reactivity
- Human
- Host
- Rabbit
- Isotype
- IgG
- Vial size
- 100 μL
- Concentration
- 0.1 mg/mL
- Storage
- Store at 4°C short term. For long term storage, store at -20°C, avoiding freeze/thaw cycles.
No comments: Submit comment
Supportive validation
- Submitted by
- Invitrogen Antibodies (provider)
- Main image

- Experimental details
- Immunofluorescent staining of CCDC42B in human cell line REH using CCDC42B Polyclonal Antibody (Product # PA5-61765) shows localization to nucleus, nucleoli fibrillar center & vesicles.
- Submitted by
- Invitrogen Antibodies (provider)
- Main image

- Experimental details
- Immunofluorescent staining of CCDC42B in human cell line REH using CCDC42B Polyclonal Antibody (Product # PA5-61765) shows localization to nucleus, nucleoli fibrillar center & vesicles.
Supportive validation
- Submitted by
- Invitrogen Antibodies (provider)
- Main image

- Experimental details
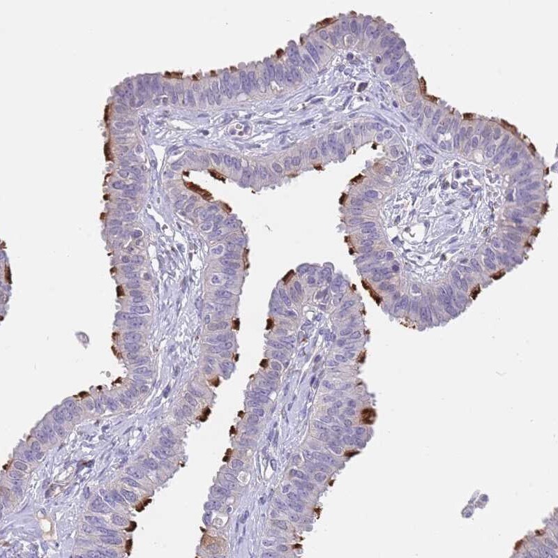
- Immunohistochemical staining of CCDC42B in human fallopian tube using CCDC42B Polyclonal Antibody (Product # PA5-61765) shows high expression.
- Submitted by
- Invitrogen Antibodies (provider)
- Main image

- Experimental details
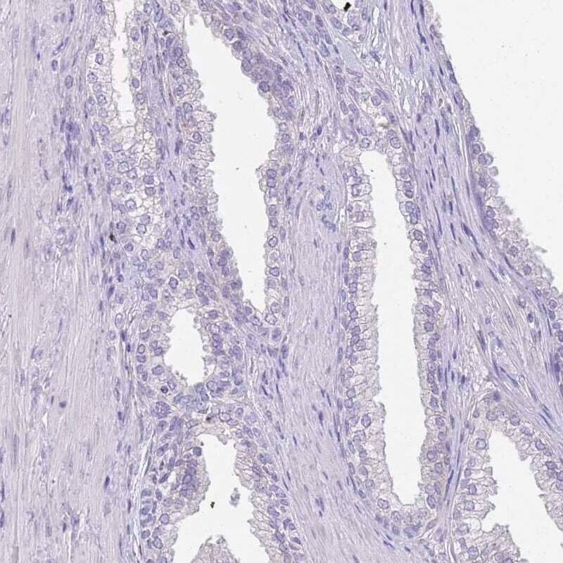
- Immunohistochemical staining of CCDC42B in human prostate using CCDC42B Polyclonal Antibody (Product # PA5-61765) shows low expression as expected.
- Submitted by
- Invitrogen Antibodies (provider)
- Main image

- Experimental details
- Immunohistochemical staining of CCDC42B in human fallopian tube and prostate tissues using CCDC42B Polyclonal Antibody (Product # PA5-61765). Corresponding CFAP73 RNA-seq data are presented for the same tissues.