PA5-62410
antibody from Invitrogen Antibodies
Targeting: RALGAPB
DKFZp781M2411, KIAA1219, RalGAPbeta
Antibody data
- Antibody Data
- Antigen structure
- References [0]
- Comments [0]
- Validations
- Immunocytochemistry [2]
- Immunohistochemistry [4]
Submit
Validation data
Reference
Comment
Report error
- Product number
- PA5-62410 - Provider product page

- Provider
- Invitrogen Antibodies
- Product name
- RALGAPB Polyclonal Antibody
- Antibody type
- Polyclonal
- Antigen
- Recombinant protein fragment
- Description
- Immunogen sequence: LPCRPFDTVF IFYMKPGQKT NQEILKNVES SRTVQPHFLE FLLSLGWSVD VGRHPGWTGH VSTSWSINCC DDGEGSQQEV ISSEDIGASI FNGQKKVLYY ADAL Highest antigen sequence identity to the following orthologs: Mouse - 91%, Rat - 94%.
- Reactivity
- Human
- Host
- Rabbit
- Isotype
- IgG
- Vial size
- 100 μL
- Concentration
- 0.1 mg/mL
- Storage
- Store at 4°C short term. For long term storage, store at -20°C, avoiding freeze/thaw cycles.
No comments: Submit comment
Supportive validation
- Submitted by
- Invitrogen Antibodies (provider)
- Main image

- Experimental details
- Immunofluorescent staining of RALGAPB in human cell line CACO-2 shows positivity in nucleus but excluded from the nucleoli. Samples were probed using a RALGAPB Polyclonal Antibody (Product # PA5-62410).
- Submitted by
- Invitrogen Antibodies (provider)
- Main image

- Experimental details
- Immunofluorecent analysis of RALGAPB in human cell line CACO-2 using RALGAPB Polyclonal Antibody (Product # PA5-62410). Staining shows localization to nuclear speckles.
Supportive validation
- Submitted by
- Invitrogen Antibodies (provider)
- Main image

- Experimental details
- Immunohistochemical analysis of RALGAPB in human skeletal muscle using RALGAPB Polyclonal Antibody (Product # PA5-62410) shows very weak cytoplasmic and nuclear positivity in myocytes.
- Submitted by
- Invitrogen Antibodies (provider)
- Main image

- Experimental details
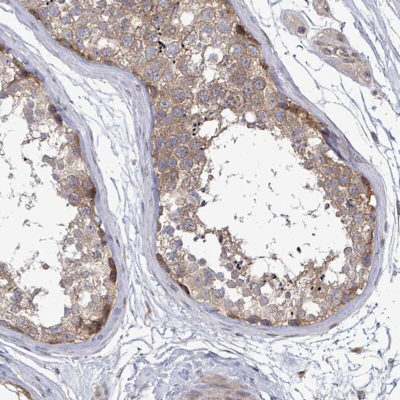
- Immunohistochemical analysis of RALGAPB in human testis using RALGAPB Polyclonal Antibody (Product # PA5-62410) shows weak to moderate cytoplasmic positivity in cells in seminiferous ducts.
- Submitted by
- Invitrogen Antibodies (provider)
- Main image

- Experimental details
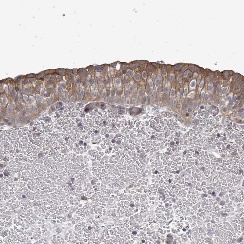
- Immunohistochemical analysis of RALGAPB in human urinary bladder using RALGAPB Polyclonal Antibody (Product # PA5-62410) shows weak to moderate cytoplasmic and membranous positivity in urothelial cells.
- Submitted by
- Invitrogen Antibodies (provider)
- Main image

- Experimental details
- Immunohistochemical analysis of RALGAPB in human cerebellum using RALGAPB Polyclonal Antibody (Product # PA5-62410) shows moderate cytoplasmic positivity in Purkinje cells.