Antibody data
- Antibody Data
- Antigen structure
- References [0]
- Comments [0]
- Validations
- Western blot [2]
- Immunohistochemistry [5]
Submit
Validation data
Reference
Comment
Report error
- Product number
- NBP2-14123 - Provider product page

- Provider
- Novus Biologicals
- Product name
- Rabbit Polyclonal INO80C Antibody
- Antibody type
- Polyclonal
- Description
- Immunogen affinity purified. Specificity of human INO80C antibody verified on a Protein Array containing target protein plus 383 other non-specific proteins.
- Reactivity
- Human
- Host
- Rabbit
- Isotype
- IgG
- Vial size
- 0.1 ml
- Storage
- Store at 4C short term. Aliquot and store at -20C long term. Avoid freeze-thaw cycles.
No comments: Submit comment
Supportive validation
- Submitted by
- Novus Biologicals (provider)
- Main image

- Experimental details
- Western Blot: INO80C Antibody [NBP2-14123] - Lane 1: Marker [kDa] 250, 130, 100, 70, 55, 35, 25, 15, 10. Lane 2: HELA
- Submitted by
- Novus Biologicals (provider)
- Main image

- Experimental details
- Western Blot: INO80C Antibody [NBP2-14123] - Analysis in control (vector only transfected HEK293T lysate) and INO80C over-expression lysate (Co-expressed with a C-terminal myc-DDK tag (3.1 kDa) in mammalian HEK293T cells).
Supportive validation
- Submitted by
- Novus Biologicals (provider)
- Main image

- Experimental details
- Immunohistochemistry-Paraffin: INO80C Antibody [NBP2-14123] - Staining of human testis shows nuclear positivity in cells in seminiferous ducts.
- Submitted by
- Novus Biologicals (provider)
- Main image

- Experimental details
- Immunohistochemistry-Paraffin: INO80C Antibody [NBP2-14123] - Staining in human testis and skeletal muscle tissues.. Corresponding INO80C RNA-seq data are presented for the same tissues.
- Submitted by
- Novus Biologicals (provider)
- Main image

- Experimental details
- Immunohistochemistry-Paraffin: INO80C Antibody [NBP2-14123] - Staining of human testis shows weak nuclear positivity in cells in seminiferous ducts.
- Submitted by
- Novus Biologicals (provider)
- Main image

- Experimental details
- Immunohistochemistry-Paraffin: INO80C Antibody [NBP2-14123] - Staining of human skeletal muscle shows very weak positivity in myocytes.
- Submitted by
- Novus Biologicals (provider)
- Main image

- Experimental details
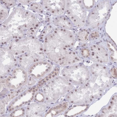
- Immunohistochemistry-Paraffin: INO80C Antibody [NBP2-14123] - Staining of human kidney shows weak to moderate positivity in cells in tubules.