Antibody data
- Antibody Data
- Antigen structure
- References [0]
- Comments [0]
- Validations
- Immunocytochemistry [2]
- Immunohistochemistry [4]
Submit
Validation data
Reference
Comment
Report error
- Product number
- PA5-58122 - Provider product page

- Provider
- Invitrogen Antibodies
- Product name
- DEPP Polyclonal Antibody
- Antibody type
- Polyclonal
- Antigen
- Recombinant protein fragment
- Description
- Immunogen sequence: PSPSLDDYVR SISRLAQPTS VLDKATAQGQ PRPPHRPAQA CRKGRPAVSL RDITARFSGQ QPTLPMADTV DP Highest antigen sequence identity to the following orthologs: Mouse - 57%, Rat - 54%.
- Reactivity
- Human
- Host
- Rabbit
- Isotype
- IgG
- Vial size
- 100 μL
- Concentration
- 0.2 mg/mL
- Storage
- Store at 4°C short term. For long term storage, store at -20°C, avoiding freeze/thaw cycles.
No comments: Submit comment
Supportive validation
- Submitted by
- Invitrogen Antibodies (provider)
- Main image

- Experimental details
- Immunofluorescent staining of DEPP in human cell line U-2 OS shows positivity in nucleus & vesicles. Samples were probed using a DEPP Polyclonal Antibody (Product # PA5-58122).
- Submitted by
- Invitrogen Antibodies (provider)
- Main image

- Experimental details
- Immunofluorecent analysis of DEPP in human cell line U-2 OS using DEPP Polyclonal Antibody (Product # PA5-58122). Staining shows localization to nucleus and vesicles.
Supportive validation
- Submitted by
- Invitrogen Antibodies (provider)
- Main image

- Experimental details
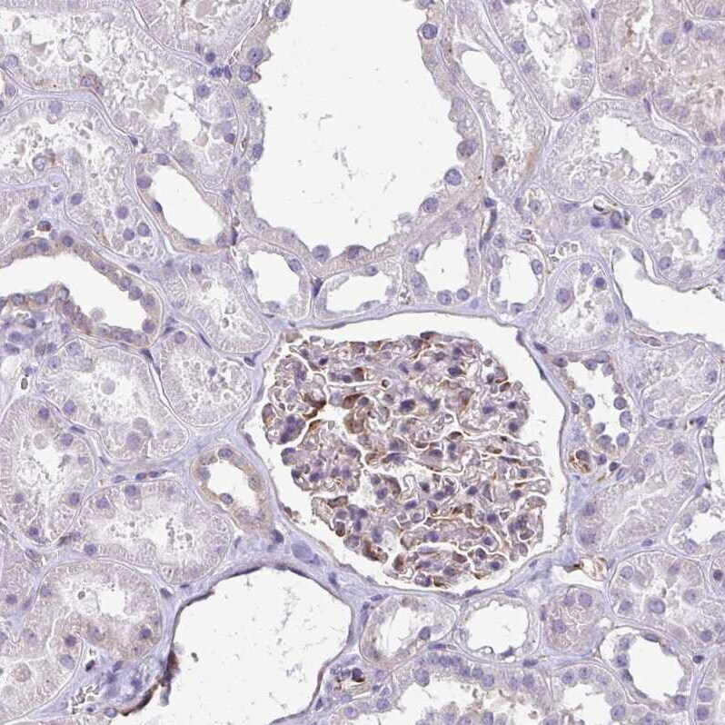
- Immunohistochemical analysis of DEPP in human kidney using DEPP Polyclonal Antibody (Product # PA5-58122) shows moderate cytoplasmic positivity in cells in glomeruli.
- Submitted by
- Invitrogen Antibodies (provider)
- Main image

- Experimental details
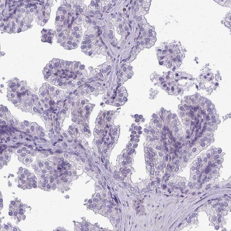
- Immunohistochemical analysis of DEPP in human prostate using DEPP Polyclonal Antibody (Product # PA5-58122) shows no positivity in glandular cells as expected.
- Submitted by
- Invitrogen Antibodies (provider)
- Main image

- Experimental details
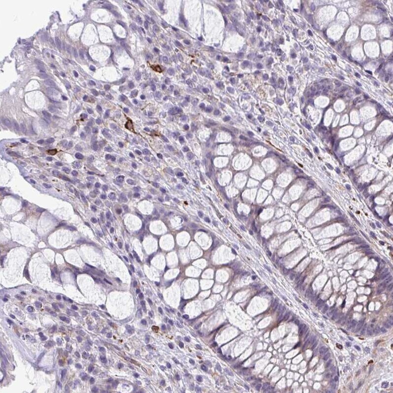
- Immunohistochemical analysis of DEPP in human rectum using DEPP Polyclonal Antibody (Product # PA5-58122) shows moderate cytoplasmic positivity in plasma cells.
- Submitted by
- Invitrogen Antibodies (provider)
- Main image

- Experimental details
- Immunohistochemical analysis of DEPP in human urinary bladder using DEPP Polyclonal Antibody (Product # PA5-58122) shows moderate cytoplasmic positivity in endothelial cells.