Antibody data
- Antibody Data
- Antigen structure
- References [0]
- Comments [0]
- Validations
- Immunocytochemistry [1]
- Immunohistochemistry [4]
Submit
Validation data
Reference
Comment
Report error
- Product number
- PA5-62009 - Provider product page

- Provider
- Invitrogen Antibodies
- Product name
- SLC35E4 Polyclonal Antibody
- Antibody type
- Polyclonal
- Antigen
- Recombinant protein fragment
- Description
- Immunogen sequence: RGLKSVQQSA LLQEERLDAV TLLY Highest antigen sequence identity to the following orthologs: Mouse - 92%, Rat - 96%.
- Reactivity
- Human
- Host
- Rabbit
- Isotype
- IgG
- Vial size
- 100 μL
- Concentration
- 0.05 mg/mL
- Storage
- Store at 4°C short term. For long term storage, store at -20°C, avoiding freeze/thaw cycles.
No comments: Submit comment
Supportive validation
- Submitted by
- Invitrogen Antibodies (provider)
- Main image

- Experimental details
- Immunofluorescent staining of SLC35E4 in human cell line PC-3 using a SLC35E4 Polyclonal Antibody (Product # PA5-62009) shows localization to cytosol.
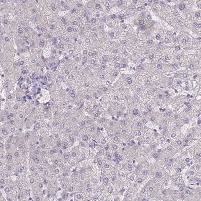
Supportive validation
- Submitted by
- Invitrogen Antibodies (provider)
- Main image

- Experimental details
- Immunohistochemical analysis of SLC35E4 in human liver using SLC35E4 Polyclonal Antibody (Product # PA5-62009) shows no positivity in hepatocytes as expected.
- Submitted by
- Invitrogen Antibodies (provider)
- Main image

- Experimental details
- Immunohistochemical analysis of SLC35E4 in human skin using SLC35E4 Polyclonal Antibody (Product # PA5-62009) shows very weak cytoplasmic positivity in squamous epithelial cells.
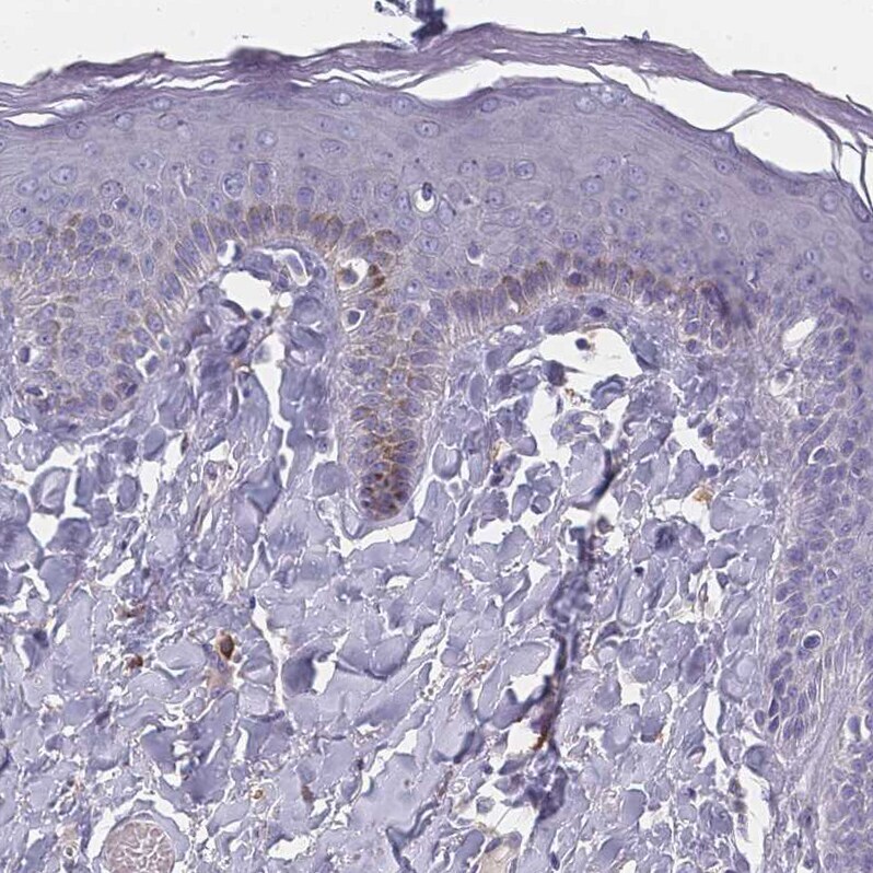
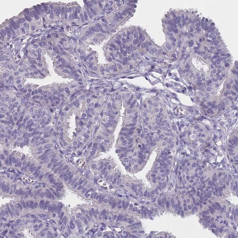
- Submitted by
- Invitrogen Antibodies (provider)
- Main image

- Experimental details
- Immunohistochemical analysis of SLC35E4 in human Fallopian tube using SLC35E4 Polyclonal Antibody (Product # PA5-62009) shows no positivity in glandular cells as expected.
- Submitted by
- Invitrogen Antibodies (provider)
- Main image

- Experimental details
- Immunohistochemical analysis of SLC35E4 in human testis using SLC35E4 Polyclonal Antibody (Product # PA5-62009) shows strong cytoplasmic positivity in Leydig cells.