PA5-62266
antibody from Invitrogen Antibodies
Targeting: C10orf99
AP-57, CSBF, FLJ21763, RLLV1833, UNQ1833
Antibody data
- Antibody Data
- Antigen structure
- References [2]
- Comments [0]
- Validations
- Immunohistochemistry [5]
Submit
Validation data
Reference
Comment
Report error
- Product number
- PA5-62266 - Provider product page

- Provider
- Invitrogen Antibodies
- Product name
- C10orf99 Polyclonal Antibody
- Antibody type
- Polyclonal
- Antigen
- Recombinant protein fragment
- Description
- Immunogen sequence: KRRPAKAWSG RRTRLCCHRV PSPNSTNLKG HHVRLCKPCK LEPEPRLWVV PGALPQV Highest antigen sequence identity to the following orthologs: Mouse - 46%, Rat - 46%.
- Reactivity
- Human
- Host
- Rabbit
- Isotype
- IgG
- Vial size
- 100 μL
- Concentration
- 0.20 mg/mL
- Storage
- Store at 4°C short term. For long term storage, store at -20°C, avoiding freeze/thaw cycles.
Submitted references Clonally expanded, GPR15-expressing pathogenic effector T(H)2 cells are associated with eosinophilic esophagitis.
Tyrosine sulfation and O-glycosylation of chemoattractant receptor GPR15 differentially regulate interaction with GPR15L.
Morgan DM, Ruiter B, Smith NP, Tu AA, Monian B, Stone BE, Virk-Hundal N, Yuan Q, Shreffler WG, Love JC
Science immunology 2021 Aug 13;6(62)
Science immunology 2021 Aug 13;6(62)
Tyrosine sulfation and O-glycosylation of chemoattractant receptor GPR15 differentially regulate interaction with GPR15L.
Okamoto Y, Shikano S
Journal of cell science 2021 Apr 15;134(8)
Journal of cell science 2021 Apr 15;134(8)
No comments: Submit comment
Supportive validation
- Submitted by
- Invitrogen Antibodies (provider)
- Main image

- Experimental details
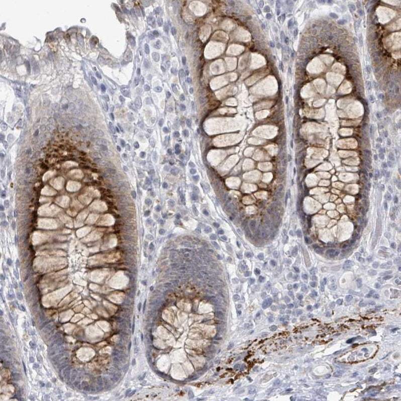
- Immunohistochemical analysis of C10orf99 in human colon using C10orf99 Polyclonal Antibody (Product # PA5-62266) shows strong cytoplasmic positivity in glandular cells.
- Submitted by
- Invitrogen Antibodies (provider)
- Main image

- Experimental details
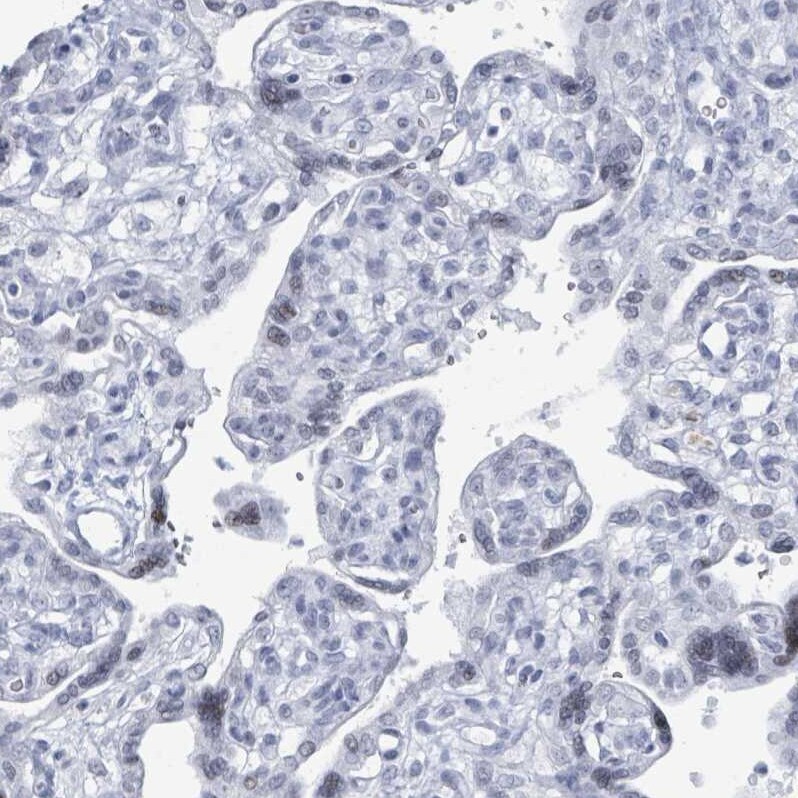
- Immunohistochemical analysis of C10orf99 in human placenta using C10orf99 Polyclonal Antibody (Product # PA5-62266) shows no positivity in trophoblastic cells as expected.
- Submitted by
- Invitrogen Antibodies (provider)
- Main image

- Experimental details
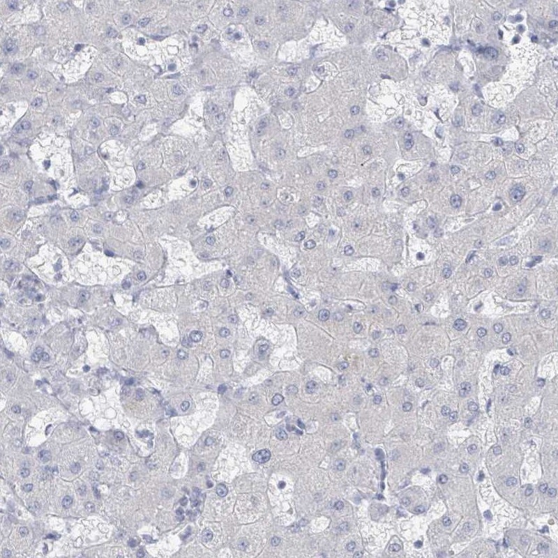
- Immunohistochemical staining of C10orf99 in human liver using C10orf99 Polyclonal Antibody (Product # PA5-62266) shows low expression as expected.
- Submitted by
- Invitrogen Antibodies (provider)
- Main image

- Experimental details
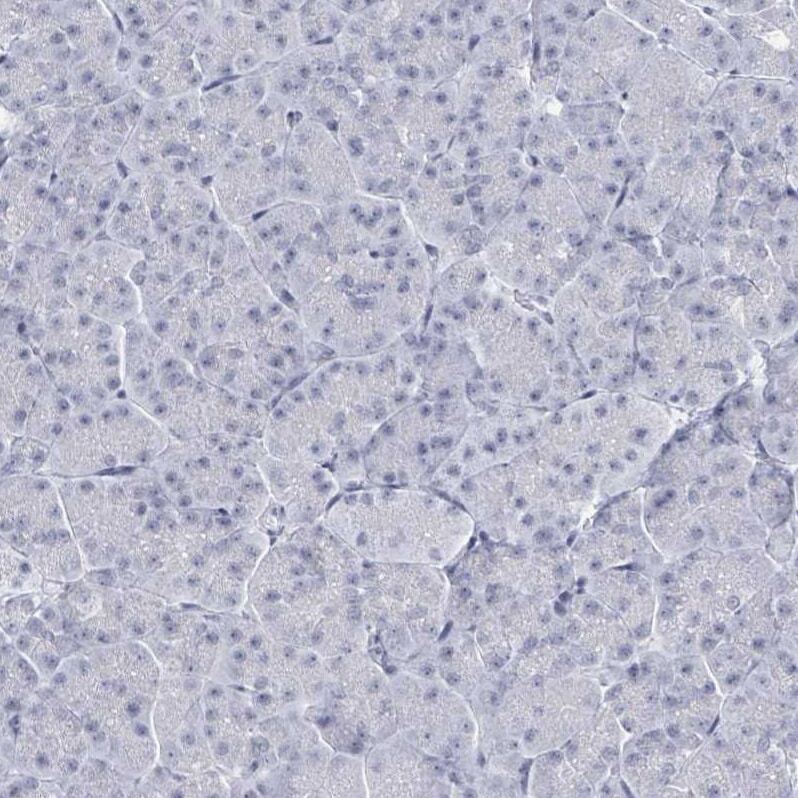
- Immunohistochemical analysis of C10orf99 in human pancreas using C10orf99 Polyclonal Antibody (Product # PA5-62266) shows no positivity in exocrine glandular cells as expected.
- Submitted by
- Invitrogen Antibodies (provider)
- Main image

- Experimental details
- Immunohistochemical staining of C10orf99 in human colon and liver tissues using C10orf99 Polyclonal Antibody (Product # PA5-62266). Corresponding C10orf99 RNA-seq data are presented for the same tissues.