PA5-62243
antibody from Invitrogen Antibodies
Targeting: SPEF1
C20orf28, CLAMP, DKFZP434I114, SPEF1A
Antibody data
- Antibody Data
- Antigen structure
- References [0]
- Comments [0]
- Validations
- Immunohistochemistry [5]
Submit
Validation data
Reference
Comment
Report error
- Product number
- PA5-62243 - Provider product page

- Provider
- Invitrogen Antibodies
- Product name
- SPEF1 Polyclonal Antibody
- Antibody type
- Polyclonal
- Antigen
- Recombinant protein fragment
- Description
- Immunogen sequence: RDFSDGVLVA EVIKFYFPKM VEMHNYVPAN SLQQKLSNWG HLNRKVLKRL NFSVPDDVMR KIAQCAPGVV ELVLIPLRQR LEERQRRRKQ GAGSLQELAP QDGSGYMDVG KVAFSISPSR L Highest antigen sequence identity to the following orthologs: Mouse - 83%, Rat - 83%.
- Reactivity
- Human
- Host
- Rabbit
- Isotype
- IgG
- Vial size
- 100 μL
- Concentration
- 0.2 mg/mL
- Storage
- Store at 4°C short term. For long term storage, store at -20°C, avoiding freeze/thaw cycles.
No comments: Submit comment
Supportive validation
- Submitted by
- Invitrogen Antibodies (provider)
- Main image

- Experimental details
- Immunohistochemical analysis of SPEF1 in human fallopian tube using SPEF1 Polyclonal Antibody (Product # PA5-62243) shows strong positivity in cilia in glandular cells.
- Submitted by
- Invitrogen Antibodies (provider)
- Main image

- Experimental details
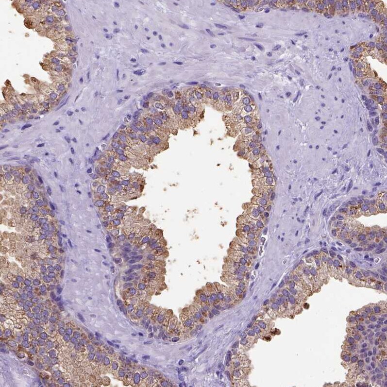
- Immunohistochemical analysis of SPEF1 in human prostate using SPEF1 Polyclonal Antibody (Product # PA5-62243) shows moderate cytoplasmic positivity in glandular cells.
- Submitted by
- Invitrogen Antibodies (provider)
- Main image

- Experimental details
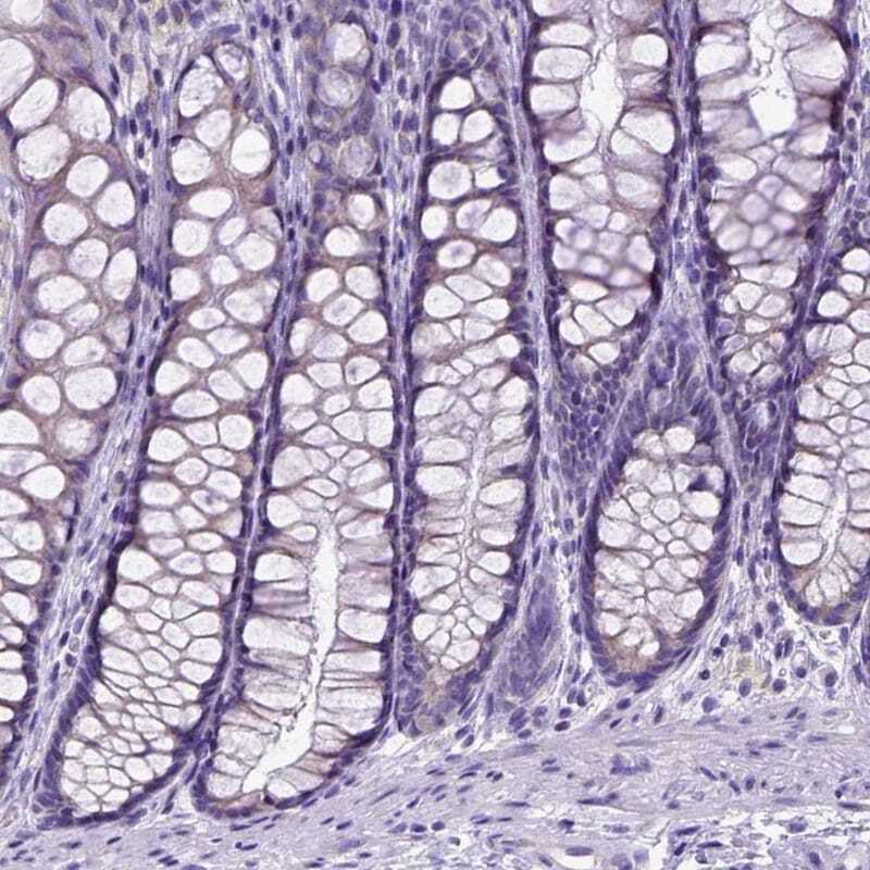
- Immunohistochemical staining of SPEF1 in human colon using SPEF1 Polyclonal Antibody (Product # PA5-62243) shows low expression as expected.
- Submitted by
- Invitrogen Antibodies (provider)
- Main image

- Experimental details
- Immunohistochemical analysis of SPEF1 in human skeletal muscle using SPEF1 Polyclonal Antibody (Product # PA5-62243) shows no positivity in myocytes as expected.
- Submitted by
- Invitrogen Antibodies (provider)
- Main image

- Experimental details
- Immunohistochemical staining of SPEF1 in human fallopian tube and colon tissues using SPEF1 Polyclonal Antibody (Product # PA5-62243). Corresponding SPEF1 RNA-seq data are presented for the same tissues.