Antibody data
- Antibody Data
- Antigen structure
- References [0]
- Comments [0]
- Validations
- Immunohistochemistry [2]
Submit
Validation data
Reference
Comment
Report error
- Product number
- PA5-148329 - Provider product page

- Provider
- Invitrogen Antibodies
- Product name
- PET117 Polyclonal Antibody
- Antibody type
- Polyclonal
- Antigen
- Other
- Reactivity
- Human
- Host
- Rabbit
- Isotype
- IgG
- Vial size
- 100 μL
- Concentration
- 100 μg/mL
- Storage
- Store at 4°C short term. For long term storage, store at -20°C, avoiding freeze/thaw cycles.
No comments: Submit comment
Supportive validation
- Submitted by
- Invitrogen Antibodies (provider)
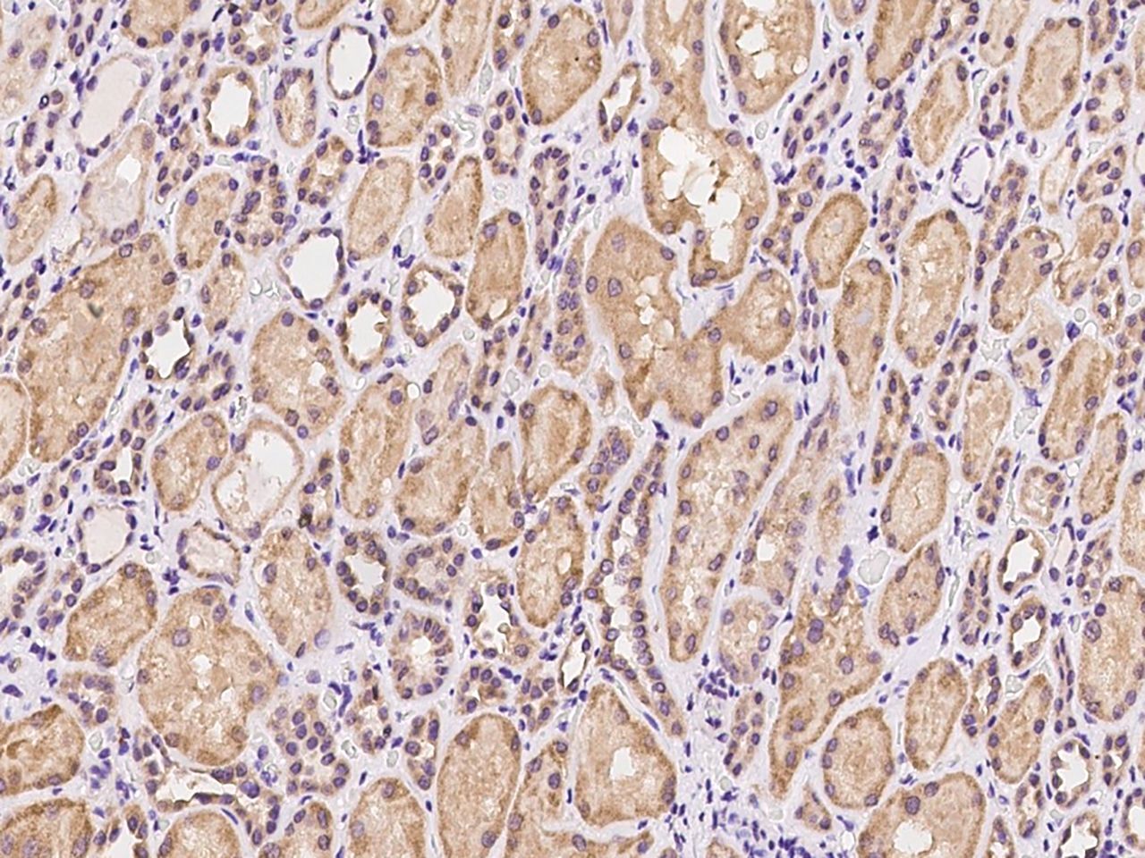
- Main image

- Experimental details
- Immunohistochemistry analysis of PET117 in formalin-fixed paraffin embedded human kidney sections. Samples were incubated with PET117 polyclonal antibody (Product # PA5-148329) using a dilution of 1:100.
- Submitted by
- Invitrogen Antibodies (provider)
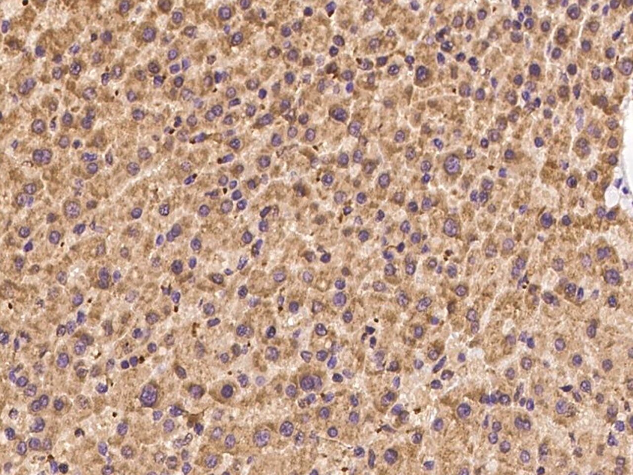
- Main image

- Experimental details
- Immunohistochemistry analysis of PET117 in formalin-fixed paraffin embedded human liver sections. Samples were incubated with PET117 polyclonal antibody (Product # PA5-148329) using a dilution of 1:100.