Antibody data
- Antibody Data
- Antigen structure
- References [0]
- Comments [0]
- Validations
- Immunohistochemistry [1]
Submit
Validation data
Reference
Comment
Report error
- Product number
- PA5-48160 - Provider product page

- Provider
- Invitrogen Antibodies
- Product name
- Anti-ABHD17C Polyclonal Antibody
- Antibody type
- Polyclonal
- Antigen
- Synthetic peptide
- Reactivity
- Human, Mouse
- Host
- Rabbit
- Isotype
- IgG
- Vial size
- 400 µl
- Concentration
- Lot Dependent
- Storage
- -20° C, Avoid Freeze/Thaw Cycles
No comments: Submit comment
Supportive validation
- Submitted by
- Invitrogen Antibodies (provider)
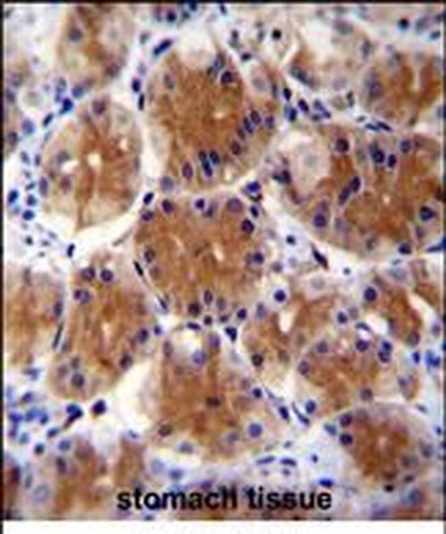
- Main image

- Experimental details
- Immunohistochemical analysis of FAM108C1 in formalin fixed and paraffin embedded human stomach tissue. Samples were probed with a FAM108C1 Antibody (Center) (Product # PA5-48160) followed by peroxidase conjugation of the secondary antibody and DAB staining.