Antibody data
- Antibody Data
- Antigen structure
- References [0]
- Comments [0]
- Validations
- Immunohistochemistry [4]
Submit
Validation data
Reference
Comment
Report error
- Product number
- PA5-61831 - Provider product page

- Provider
- Invitrogen Antibodies
- Product name
- ABHD17C Polyclonal Antibody
- Antibody type
- Polyclonal
- Antigen
- Recombinant protein fragment
- Description
- Immunogen sequence: LDAVEVFFSR TARDNRLGCM FV Highest antigen sequence identity to the following orthologs: Mouse - 100%, Rat - 100%.
- Reactivity
- Human
- Host
- Rabbit
- Isotype
- IgG
- Vial size
- 100 μL
- Concentration
- 0.10 mg/mL
- Storage
- Store at 4°C short term. For long term storage, store at -20°C, avoiding freeze/thaw cycles.
No comments: Submit comment
Supportive validation
- Submitted by
- Invitrogen Antibodies (provider)
- Main image

- Experimental details
- Immunohistochemical analysis of ABHD17C in human skeletal muscle using ABHD17C Polyclonal Antibody (Product # PA5-61831) shows weak cytoplasmic positivity in myocytes.
- Submitted by
- Invitrogen Antibodies (provider)
- Main image

- Experimental details
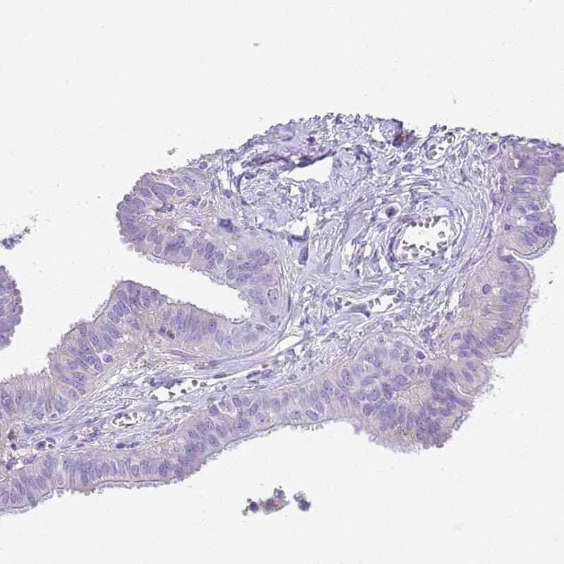
- Immunohistochemical analysis of ABHD17C in human fallopian tube using ABHD17C Polyclonal Antibody (Product # PA5-61831) shows no positivity in glandular cells as expected.
- Submitted by
- Invitrogen Antibodies (provider)
- Main image

- Experimental details
- Immunohistochemical analysis of ABHD17C in human stomach using ABHD17C Polyclonal Antibody (Product # PA5-61831) shows moderate cytoplasmic positivity in glandular cells.
- Submitted by
- Invitrogen Antibodies (provider)
- Main image

- Experimental details
- Immunohistochemical analysis of ABHD17C in human prostate using ABHD17C Polyclonal Antibody (Product # PA5-61831) shows no positivity in glandular cells as expected.