Antibody data
- Antibody Data
- Antigen structure
- References [9]
- Comments [0]
- Validations
- Western blot [1]
- Immunohistochemistry [2]
Submit
Validation data
Reference
Comment
Report error
- Product number
- 55409-1-AP - Provider product page

- Provider
- Proteintech Group
- Proper citation
- Proteintech Cat#55409-1-AP, RRID:AB_11182170
- Product name
- KHSRP antibody
- Antibody type
- Polyclonal
- Description
- KD/KO validated KHSRP antibody (Cat. #55409-1-AP) is a rabbit polyclonal antibody that shows reactivity with human, mouse and has been validated for the following applications: IF, IHC, WB,ELISA.
- Reactivity
- Human, Mouse
- Host
- Rabbit
- Conjugate
- Unconjugated
- Isotype
- IgG
- Vial size
- 20ul, 150ul
Submitted references Skeletal muscle-derived FSTL1 starting up angiogenesis by regulating endothelial junction via activating Src pathway can be upregulated by hydrogen sulfide.
Targeting lncRNA DDIT4-AS1 Sensitizes Triple Negative Breast Cancer to Chemotherapy via Suppressing of Autophagy.
A program of successive gene expression in mouse one-cell embryos.
Mutational burden of XPNPEP3 leads to defects in mitochondrial complex I and cilia in NPHPL1.
G3BP1 binds to guanine quadruplexes in mRNAs to modulate their stabilities.
Identification of cis-HOX-HOXC10 axis as a therapeutic target for colorectal tumor-initiating cells without APC mutations.
Angiotensin II contributes to intratumoral immunosuppressionvia induction of PD-L1 expression in non-small cell lung carcinoma.
microRNA-185 modulates low density lipoprotein receptor expression as a key posttranscriptional regulator.
Subcellular quantitative proteomic analysis reveals host proteins involved in human cytomegalovirus infection.
Li MY, Gao RP, Zhu Q, Chen Y, Tao BB, Zhu YC
American journal of physiology. Cell physiology 2023 Nov 1;325(5):C1252-C1266
American journal of physiology. Cell physiology 2023 Nov 1;325(5):C1252-C1266
Targeting lncRNA DDIT4-AS1 Sensitizes Triple Negative Breast Cancer to Chemotherapy via Suppressing of Autophagy.
Jiang T, Zhu J, Jiang S, Chen Z, Xu P, Gong R, Zhong C, Cheng Y, Sun X, Yi W, Yang J, Zhou W, Cheng Y
Advanced science (Weinheim, Baden-Wurttemberg, Germany) 2023 Jun;10(17):e2207257
Advanced science (Weinheim, Baden-Wurttemberg, Germany) 2023 Jun;10(17):e2207257
A program of successive gene expression in mouse one-cell embryos.
Asami M, Lam BYH, Hoffmann M, Suzuki T, Lu X, Yoshida N, Ma MK, Rainbow K, Gužvić M, VerMilyea MD, Yeo GSH, Klein CA, Perry ACF
Cell reports 2023 Feb 28;42(2):112023
Cell reports 2023 Feb 28;42(2):112023
Mutational burden of XPNPEP3 leads to defects in mitochondrial complex I and cilia in NPHPL1.
Tong L, Rao J, Yang C, Xu J, Lu Y, Zhang Y, Cang X, Xie S, Mao J, Jiang P
iScience 2023 Aug 18;26(8):107446
iScience 2023 Aug 18;26(8):107446
G3BP1 binds to guanine quadruplexes in mRNAs to modulate their stabilities.
He X, Yuan J, Wang Y
Nucleic acids research 2021 Nov 8;49(19):11323-11336
Nucleic acids research 2021 Nov 8;49(19):11323-11336
Identification of cis-HOX-HOXC10 axis as a therapeutic target for colorectal tumor-initiating cells without APC mutations.
Chen Z, Wu J, Liu B, Zhang G, Wang Z, Zhang L, Wang K, Fan Z, Zhu P
Cell reports 2021 Jul 27;36(4):109431
Cell reports 2021 Jul 27;36(4):109431
Angiotensin II contributes to intratumoral immunosuppressionvia induction of PD-L1 expression in non-small cell lung carcinoma.
Yang K, Zhou J, Chen Y, Chen Y, Chen L, Zhang P, Ma L, Jiang Z, Bian J, Yin W
International immunopharmacology 2020 Jul;84:106507
International immunopharmacology 2020 Jul;84:106507
microRNA-185 modulates low density lipoprotein receptor expression as a key posttranscriptional regulator.
Jiang H, Zhang J, Du Y, Jia X, Yang F, Si S, Wang L, Hong B
Atherosclerosis 2015 Dec;243(2):523-32
Atherosclerosis 2015 Dec;243(2):523-32
Subcellular quantitative proteomic analysis reveals host proteins involved in human cytomegalovirus infection.
Chai F, Li HY, Wang W, Zhu XJ, Li Y, Wang S, Guo L, Zhang LK, Xiao G
Biochimica et biophysica acta 2015 Aug;1854(8):967-78
Biochimica et biophysica acta 2015 Aug;1854(8):967-78
No comments: Submit comment
Supportive validation
- Submitted by
- Proteintech Group (provider)
- Main image

- Experimental details
- HeLa cells were subjected to SDS PAGE followed by western blot with 55409-1-AP(KHSRP antibody) at dilution of 1:500
- Sample type
- cell line
Supportive validation
- Submitted by
- Proteintech Group (provider)
- Main image

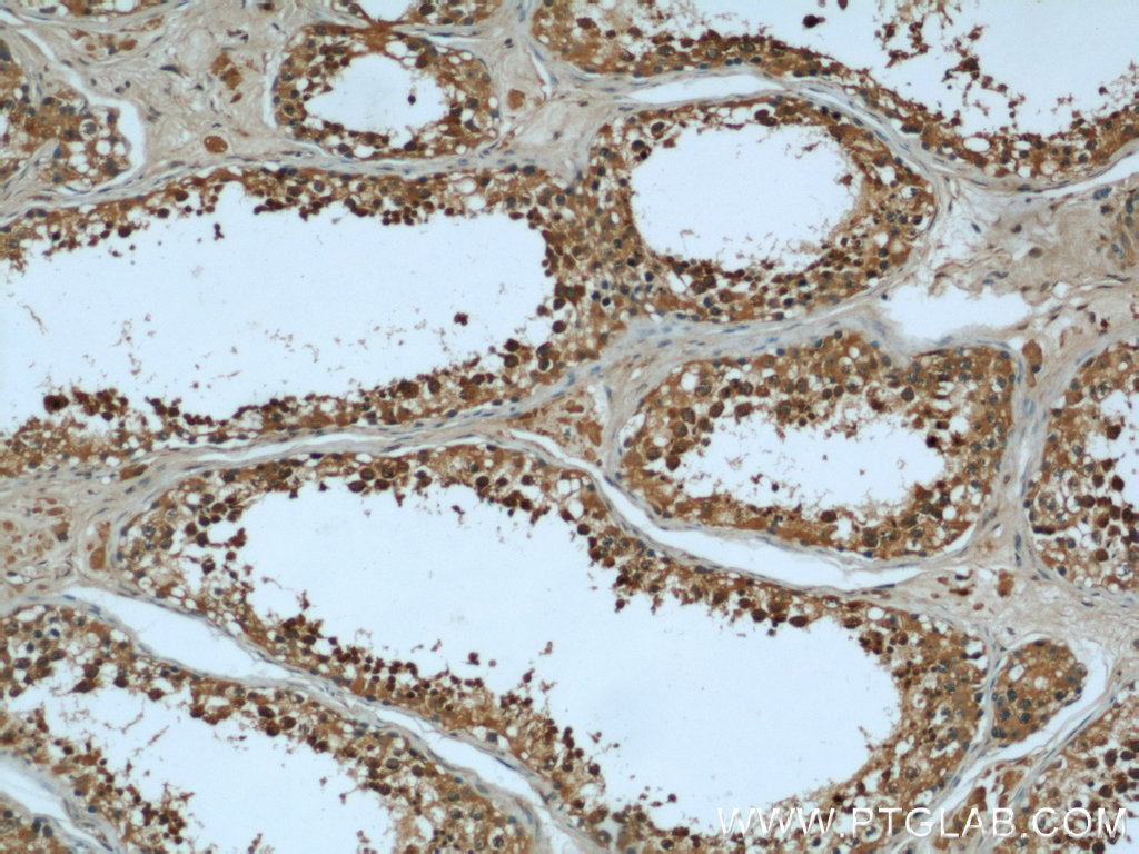
- Experimental details
- Immunohistochemical of paraffin-embedded human testis using 55409-1-AP(KHSRP antibody) at dilution of 1:50 (under 10x lens)
- Sample type
- tissue
- Submitted by
- Proteintech Group (provider)
- Main image

- Experimental details
- The KHSRP antibody from Proteintech is a rabbit polyclonal antibody to a peptide of human KHSRP. This antibody recognizes human, mouse, rat antigen. The KHSRP antibody has been validated for the following applications: ELISA, WB, IHC analysis.