Antibody data
- Antibody Data
- Antigen structure
- References [0]
- Comments [0]
- Validations
- Immunocytochemistry [2]
- Immunohistochemistry [1]
Submit
Validation data
Reference
Comment
Report error
- Product number
- PA5-64386 - Provider product page

- Provider
- Invitrogen Antibodies
- Product name
- KIAA0040 Polyclonal Antibody
- Antibody type
- Polyclonal
- Antigen
- Recombinant protein fragment
- Description
- Immunogen sequence: KKKKKDEEDL WISAQPKLLQ MEKRPSLPV Highest antigen sequence identity to the following orthologs: Mouse - 90%, Rat - 45%.
- Reactivity
- Human
- Host
- Rabbit
- Isotype
- IgG
- Vial size
- 100 μL
- Concentration
- 0.1 mg/mL
- Storage
- Store at 4°C short term. For long term storage, store at -20°C, avoiding freeze/thaw cycles.
No comments: Submit comment
Supportive validation
- Submitted by
- Invitrogen Antibodies (provider)
- Main image

- Experimental details
- Immunofluorescent staining of KIAA0040 in human cell line HaCaT shows positivity in nucleus but excluded from the nucleoli. Samples were probed using a KIAA0040 Polyclonal Antibody (Product # PA5-64386).
- Submitted by
- Invitrogen Antibodies (provider)
- Main image

- Experimental details
- Immunofluorecent analysis of KIAA0040 in human cell line HaCaT using KIAA0040 Polyclonal Antibody (Product # PA5-64386). Staining shows localization to nucleoplasm.
Supportive validation
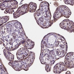
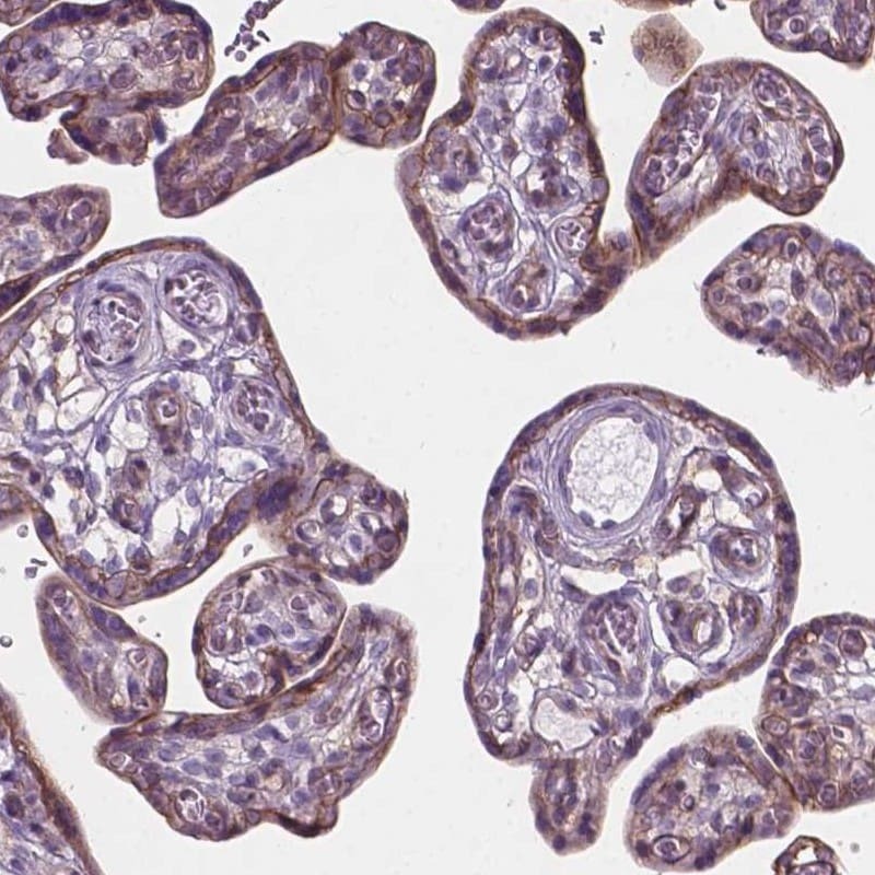
- Submitted by
- Invitrogen Antibodies (provider)
- Main image

- Experimental details
- Immunohistochemical staining of KIAA0040 in human placenta using a KIAA0040 Polyclonal Antibody (Product # PA5-64386) shows cytoplasmic positivity in trophoblasts.