Antibody data
- Antibody Data
- Antigen structure
- References [0]
- Comments [0]
- Validations
- Immunocytochemistry [1]
- Immunohistochemistry [2]
Submit
Validation data
Reference
Comment
Report error
- Product number
- PA5-148389 - Provider product page

- Provider
- Invitrogen Antibodies
- Product name
- SBNO2 Polyclonal Antibody
- Antibody type
- Polyclonal
- Antigen
- Other
- Reactivity
- Human
- Host
- Rabbit
- Isotype
- IgG
- Vial size
- 100 μL
- Concentration
- 1 mg/mL
- Storage
- Store at 4°C short term. For long term storage, store at -20°C, avoiding freeze/thaw cycles.
No comments: Submit comment
Supportive validation
- Submitted by
- Invitrogen Antibodies (provider)
- Main image

- Experimental details
- Immunocytochemistry analysis of SBNO2 in U251MG cells. Samples were incubated with SBNO2 polyclonal antibody (Product # PA5-148389) using a dilution of 1:200 at 4°C overnight followed by Alexa Fluor 488-conjugated Goat Anti-rabbit IgG secondary antibody (green). Cells were fixed with 4% PFA, permeabilized with 0.1% Triton X-100 in PBS, and blocked with 10% serum. Positive staining was localized to nucleus and cytoplasm.
Supportive validation
- Submitted by
- Invitrogen Antibodies (provider)
- Main image

- Experimental details
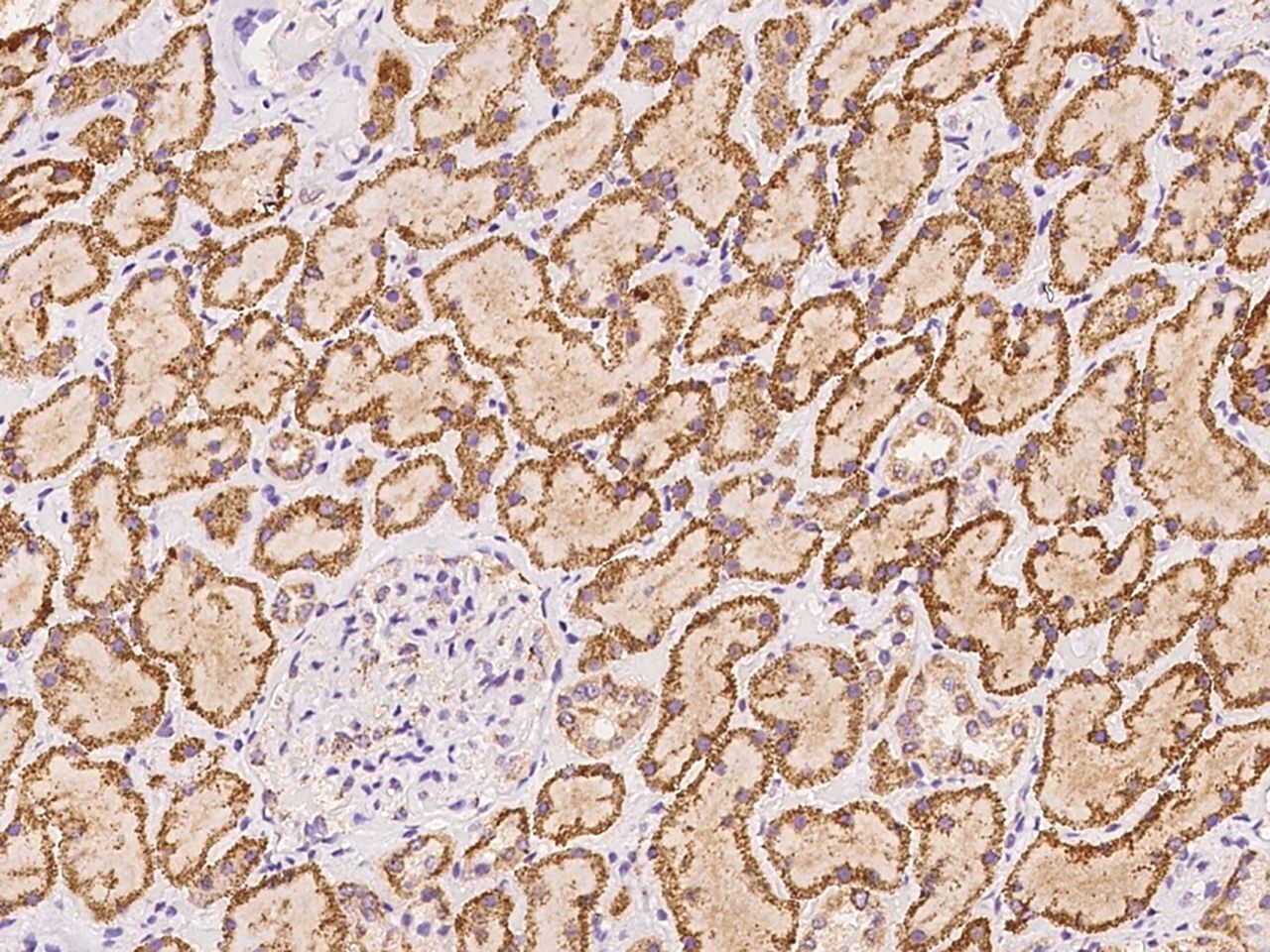
- Immunohistochemistry analysis of SBNO2 in formalin-fixed paraffin embedded human kidney sections. Samples were incubated with SBNO2 polyclonal antibody (Product # PA5-148389) using a dilution of 1:100.
- Submitted by
- Invitrogen Antibodies (provider)
- Main image

- Experimental details
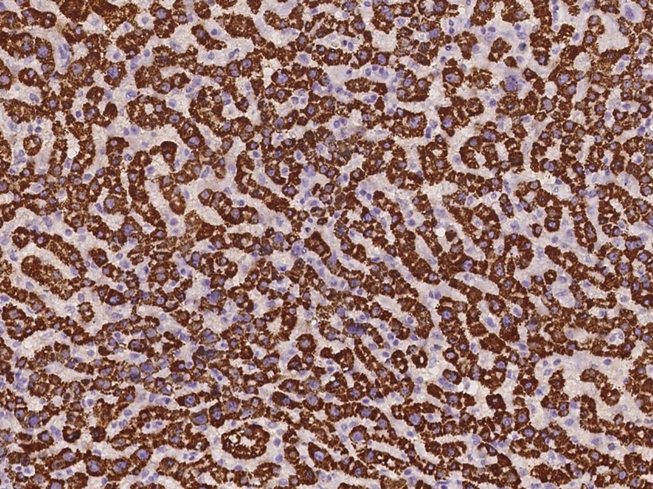
- Immunohistochemistry analysis of SBNO2 in formalin-fixed paraffin embedded human liver sections. Samples were incubated with SBNO2 polyclonal antibody (Product # PA5-148389) using a dilution of 1:100.