Antibody data
- Antibody Data
- Antigen structure
- References [0]
- Comments [0]
- Validations
- Western blot [1]
- Immunocytochemistry [1]
- Immunohistochemistry [1]
Submit
Validation data
Reference
Comment
Report error
- Product number
- RQ8462 - Provider product page

- Provider
- NSJ Bioreagents
- Product name
- LEKR1 Antibody / Leucine-, glutamate- and lysine-rich protein 1
- Antibody type
- Polyclonal
- Description
- This highly specific LEKR1 antibody is suitable for use in Western blot/Immunohistochemistry/Immunofluorescence/ELISA applications with human, mouse and rat samples.
- Reactivity
- Human, Mouse, Rat
- Host
- Rabbit
- Conjugate
- Unconjugated
- Vial size
- 100 ug
- Concentration
- 0.5mg/ml if reconstituted with 0.2ml sterile DI water
- Storage
- After reconstitution, the LEKR1 antibody can be stored for up to one month at 4oC. For long-term, aliquot and store at -20oC. Avoid repeated freezing and thawing.
No comments: Submit comment
Supportive validation
- Submitted by
- NSJ Bioreagents (provider)
- Main image

- Experimental details
- Western blot testing of 1) human A431, 2) human ThP-1, 3) human MCF7, 4) human SiHa, 5) rat C6 and 6) mouse RAW264.7 cell lysate with LEKR1 antibody. Predicted molecular weight ~81/30/14/13/12 kDa (multiple isoforms).
Supportive validation
- Submitted by
- NSJ Bioreagents (provider)
- Main image

- Experimental details
- Immunofluorescent staining of FFPE human U-2 OS cells with LEKR1 antibody (red) and DAPI nuclear stain (blue). HIER: steam section in pH6 citrate buffer for 20 min.
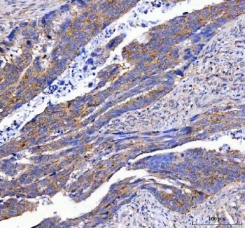
Supportive validation
- Submitted by
- NSJ Bioreagents (provider)
- Main image

- Experimental details
- IHC staining of FFPE human colorectal adenocarcinoma tissue with LEKR1 antibody. HIER: boil tissue sections in pH8 EDTA for 20 min and allow to cool before testing.