Antibody data
- Antibody Data
- Antigen structure
- References [0]
- Comments [0]
- Validations
- Immunocytochemistry [1]
- Immunohistochemistry [1]
Submit
Validation data
Reference
Comment
Report error
- Product number
- PA5-62959 - Provider product page

- Provider
- Invitrogen Antibodies
- Product name
- Anti-PQLC2L Polyclonal Antibody
- Antibody type
- Polyclonal
- Antigen
- Recombinant full-length protein
- Description
- Immunogen sequence: KVVGNYRVNT ANSSTDTSGE HLTCLRSQLF VAYRNGRVDE AVSLGFLDCW IGGDLTNFKG CYLTNQLP Highest antigen sequence identity to the following orthologs: Mouse - 29%, Rat - 29%.
- Reactivity
- Human
- Host
- Rabbit
- Isotype
- IgG
- Vial size
- 100 µL
- Concentration
- 0.05 mg/mL
- Storage
- Store at 4°C short term. For long term storage, store at -20°C, avoiding freeze/thaw cycles.
No comments: Submit comment
Supportive validation
- Submitted by
- Invitrogen Antibodies (provider)
- Main image

- Experimental details
- Immunofluorescent staining of PQLC2L in human cell line U-2 OS using a PQLC2L Polyclonal Antibody (Product # PA5-62959) shows localization to nucleoplasm, nuclear bodies and the Golgi apparatus.
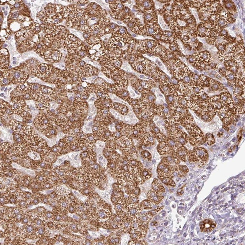
Supportive validation
- Submitted by
- Invitrogen Antibodies (provider)
- Main image

- Experimental details
- Immunohistochemical analysis of PQLC2L in human liver using PQLC2L Polyclonal Antibody (Product # PA5-62959) shows strong cytoplasmic positivity in hepatocytes and bile duct cells.