Antibody data
- Antibody Data
- Antigen structure
- References [0]
- Comments [0]
- Validations
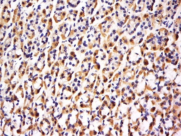
- Immunohistochemistry [1]
Submit
Validation data
Reference
Comment
Report error
- Product number
- ABIN2690142 - Provider product page

- Provider
- antibodies-online
- Product name
- anti-F-Box Protein 48 (FBXO48) (AA 80-130) antibody
- Antibody type
- Polyclonal
- Description
- Purified by Protein A.
- Reactivity
- Human, Mouse, Rat
- Host
- Rabbit
- Epitope
- AA 80-130
- Isotype
- IgG
- Vial size
- 100 μL
- Storage
- Store at -20°C
No comments: Submit comment
Supportive validation
- Submitted by
- antibodies-online (provider)
- Main image

- Experimental details
- IHC