Antibody data
- Antibody Data
- Antigen structure
- References [0]
- Comments [0]
- Validations
- Immunocytochemistry [1]
- Immunohistochemistry [4]
Submit
Validation data
Reference
Comment
Report error
- Product number
- PA5-61352 - Provider product page

- Provider
- Invitrogen Antibodies
- Product name
- UQCC3 Polyclonal Antibody
- Antibody type
- Polyclonal
- Antigen
- Recombinant protein fragment
- Description
- Immunogen sequence: GERRKQEMLK EMPLQDPRSR EEAARTQQLL LATL Highest antigen sequence identity to the following orthologs: Mouse - 59%, Rat - 59%.
- Reactivity
- Human
- Host
- Rabbit
- Isotype
- IgG
- Vial size
- 100 μL
- Concentration
- 0.2 mg/mL
- Storage
- Store at 4°C short term. For long term storage, store at -20°C, avoiding freeze/thaw cycles.
No comments: Submit comment
Supportive validation
- Submitted by
- Invitrogen Antibodies (provider)
- Main image

- Experimental details
- Immunofluorescent staining of UQCC3 in human cell line MCF7 shows positivity in cytoplasm, mitochondria & nucleus but excluded from the nucleoli. Samples were probed using an UQCC3 Polyclonal Antibody (Product # PA5-61352).
Supportive validation
- Submitted by
- Invitrogen Antibodies (provider)
- Main image

- Experimental details
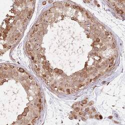
- Immunohistochemical analysis of UQCC3 in human testis using UQCC3 Polyclonal Antibody (Product # PA5-61352) shows moderate cytoplasmic granular positivity in cells in seminiferous ducts and Leydig cells.
- Submitted by
- Invitrogen Antibodies (provider)
- Main image

- Experimental details
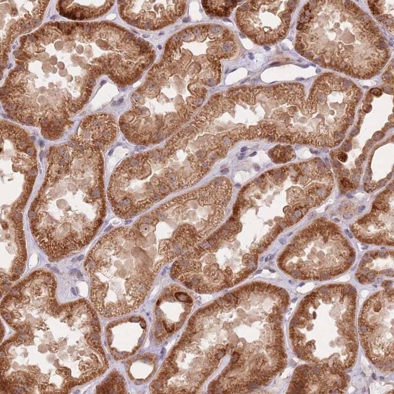
- Immunohistochemical analysis of UQCC3 in human kidney using UQCC3 Polyclonal Antibody (Product # PA5-61352) shows strong cytoplasmic granular positivity in cells in tubules.
- Submitted by
- Invitrogen Antibodies (provider)
- Main image

- Experimental details
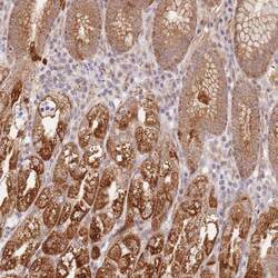
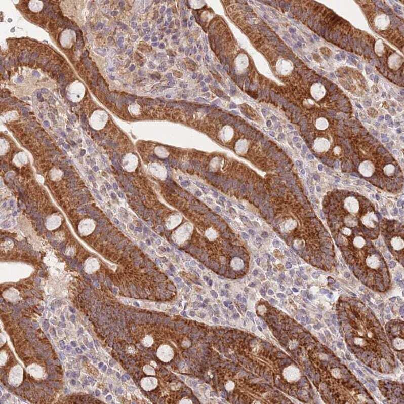
- Immunohistochemical analysis of UQCC3 in human stomach using UQCC3 Polyclonal Antibody (Product # PA5-61352) shows strong cytoplasmic granular positivity in glandular cells.
- Submitted by
- Invitrogen Antibodies (provider)
- Main image

- Experimental details
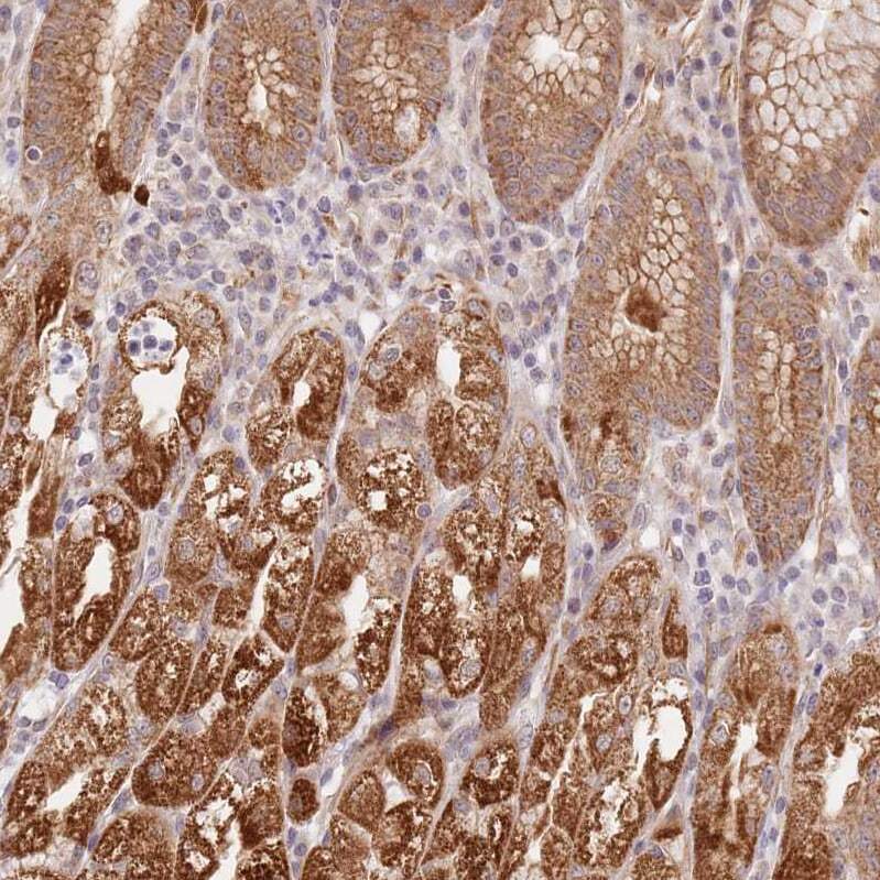
- Immunohistochemical analysis of UQCC3 in human duodenum using UQCC3 Polyclonal Antibody (Product # PA5-61352) shows strong cytoplasmic granular positivity in glandular cells.