Antibody data
- Antibody Data
- Antigen structure
- References [0]
- Comments [0]
- Validations
- Western blot [1]
- Immunohistochemistry [1]
Submit
Validation data
Reference
Comment
Report error
- Product number
- NBP2-14685 - Provider product page

- Provider
- Novus Biologicals
- Product name
- Rabbit Polyclonal HEATR5A Antibody
- Antibody type
- Polyclonal
- Description
- Immunogen affinity purified. Specificity of human HEATR5A antibody verified on a Protein Array containing target protein plus 383 other non-specific proteins.
- Reactivity
- Human
- Host
- Rabbit
- Isotype
- IgG
- Vial size
- 0.1 ml
- Storage
- Store at 4C short term. Aliquot and store at -20C long term. Avoid freeze-thaw cycles.
No comments: Submit comment
Supportive validation
- Submitted by
- Novus Biologicals (provider)
- Main image

- Experimental details
- Western Blot: HEATR5A Antibody [NBP2-14685] - Lane 1: Marker [kDa] 250, 130, 100, 70, 55, 35, 25, 15, 10. Lane 2: SK-MEL-30
Supportive validation
- Submitted by
- Novus Biologicals (provider)
- Main image

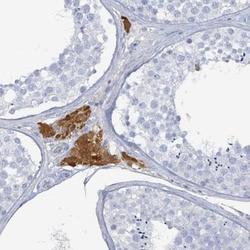
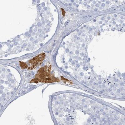
- Experimental details
- Immunohistochemistry-Paraffin: HEATR5A Antibody [NBP2-14685] - Staining of human testis shows strong positivity in Leydig cells.