Antibody data
- Antibody Data
- Antigen structure
- References [0]
- Comments [0]
- Validations
- Immunohistochemistry [15]
Submit
Validation data
Reference
Comment
Report error
- Product number
- STJ13100208 - Provider product page

- Provider
- St John's Laboratory
- Product name
- Anti-OBP2B antibody (Internal) (STJ13100208)
- Antibody type
- Polyclonal
- Description
- Nz White Rabbit polyclonal antibody anti-Odorant-binding protein 2b (Internal) is suitable for use in Immunohistochemistry and Western Blot research applications.
- Reactivity
- Human
- Conjugate
- Unconjugated
- Antigen sequence
NA- Epitope
- NA
- Isotype
- IgG
- Antibody clone number
- NA
- Vial size
- NA
- Concentration
- NA
- Storage
- Maintain the lyophilised/reconstituted antibodies frozen at-20°C for long term storage and refrigerated at 2-8°C for a shorter term. When reconstituting, glycerol (1:1) may be added for an additional stability. Avoid freeze and thaw cycles.
- Handling
- NA
No comments: Submit comment
Supportive validation
Supportive validation
Supportive validation
Supportive validation
Supportive validation
Supportive validation
Supportive validation
Supportive validation
Supportive validation
Supportive validation
Supportive validation
Supportive validation
Supportive validation
Supportive validation
Supportive validation
- Submitted by
- St John's Laboratory (provider)
- Main image

- Experimental details
- IHC-P on paraffin sections of human prostate. HIER: Tris-EDTA, pH 9 for 20 min using Thermo PT Module. Blocking: 0.2% LFDM in TBST filtered thru 0.2 um. Detection was done using Novolink HRP polymer from Leica following manufacturer's instructions. Primary antibody dilution 1: 1000, incubated 30 min at RT (using Autostainer) . Sections were counterstained with Harris Hematoxylin.
- Sample type
- NA
- Validation comment
- NA
- Primary Ab dilution
- NA
- Other comments
- NA
- Secondary Ab
- NA
- Secondary Ab dilution
- NA
- Protocol
- NA
Supportive validation
- Submitted by
- St John's Laboratory (provider)
- Main image

- Experimental details
- IHC-P on paraffin sections of human prostate. HIER: Tris-EDTA, pH 9 for 20 min using Thermo PT Module. Blocking: 0.2% LFDM in TBST filtered thru 0.2 um. Detection was done using Novolink HRP polymer from Leica following manufacturer's instructions. Primary antibody dilution 1: 1000, incubated 30 min at RT (using Autostainer) . Sections were counterstained with Harris Hematoxylin.
- Sample type
- NA
- Validation comment
- NA
- Primary Ab dilution
- NA
- Other comments
- NA
- Secondary Ab
- NA
- Secondary Ab dilution
- NA
- Protocol
- NA
Supportive validation
- Submitted by
- St John's Laboratory (provider)
- Main image

- Experimental details
- IHC-P on paraffin sections of human prostate. HIER: Tris-EDTA, pH 9 for 20 min using Thermo PT Module. Blocking: 0.2% LFDM in TBST filtered thru 0.2 um. Detection was done using Novolink HRP polymer from Leica following manufacturer's instructions. Primary antibody dilution 1: 1000, incubated 30 min at RT (using Autostainer) . Sections were counterstained with Harris Hematoxylin.
- Sample type
- NA
- Validation comment
- NA
- Primary Ab dilution
- NA
- Other comments
- NA
- Secondary Ab
- NA
- Secondary Ab dilution
- NA
- Protocol
- NA
Supportive validation
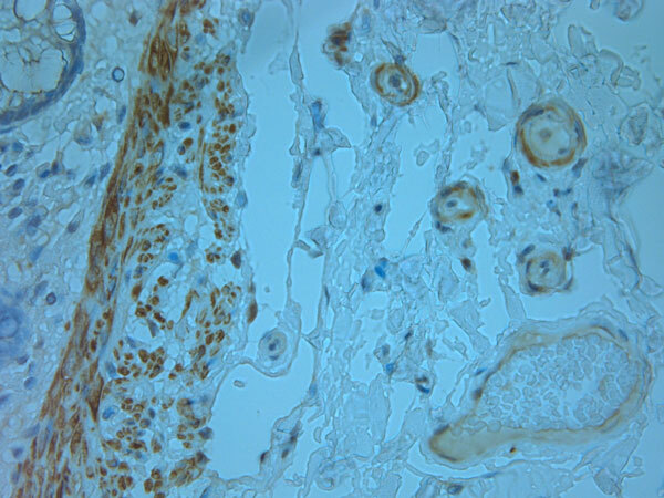
- Submitted by
- St John's Laboratory (provider)
- Main image

- Experimental details
- IHC-P on paraffin sections of human prostate. HIER: Tris-EDTA, pH 9 for 20 min using Thermo PT Module. Blocking: 0.2% LFDM in TBST filtered thru 0.2 um. Detection was done using Novolink HRP polymer from Leica following manufacturer's instructions. Primary antibody dilution 1: 1000, incubated 30 min at RT (using Autostainer) . Sections were counterstained with Harris Hematoxylin.
- Sample type
- NA
- Validation comment
- NA
- Primary Ab dilution
- NA
- Other comments
- NA
- Secondary Ab
- NA
- Secondary Ab dilution
- NA
- Protocol
- NA
Supportive validation
- Submitted by
- St John's Laboratory (provider)
- Main image

- Experimental details
- IHC-P on paraffin sections of human prostate. HIER: Tris-EDTA, pH 9 for 20 min using Thermo PT Module. Blocking: 0.2% LFDM in TBST filtered thru 0.2 um. Detection was done using Novolink HRP polymer from Leica following manufacturer's instructions. Primary antibody dilution 1: 1000, incubated 30 min at RT (using Autostainer) . Sections were counterstained with Harris Hematoxylin.
- Sample type
- NA
- Validation comment
- NA
- Primary Ab dilution
- NA
- Other comments
- NA
- Secondary Ab
- NA
- Secondary Ab dilution
- NA
- Protocol
- NA
Supportive validation
- Submitted by
- St John's Laboratory (provider)
- Main image

- Experimental details
- IHC-P on paraffin sections of human prostate. HIER: Tris-EDTA, pH 9 for 20 min using Thermo PT Module. Blocking: 0.2% LFDM in TBST filtered thru 0.2 um. Detection was done using Novolink HRP polymer from Leica following manufacturer's instructions. Primary antibody dilution 1: 1000, incubated 30 min at RT (using Autostainer) . Sections were counterstained with Harris Hematoxylin.
- Sample type
- NA
- Validation comment
- NA
- Primary Ab dilution
- NA
- Other comments
- NA
- Secondary Ab
- NA
- Secondary Ab dilution
- NA
- Protocol
- NA
Supportive validation
- Submitted by
- St John's Laboratory (provider)
- Main image

- Experimental details
- IHC-P on paraffin sections of human prostate. HIER: Tris-EDTA, pH 9 for 20 min using Thermo PT Module. Blocking: 0.2% LFDM in TBST filtered thru 0.2 um. Detection was done using Novolink HRP polymer from Leica following manufacturer's instructions. Primary antibody dilution 1: 1000, incubated 30 min at RT (using Autostainer) . Sections were counterstained with Harris Hematoxylin.
- Sample type
- NA
- Validation comment
- NA
- Primary Ab dilution
- NA
- Other comments
- NA
- Secondary Ab
- NA
- Secondary Ab dilution
- NA
- Protocol
- NA
Supportive validation
- Submitted by
- St John's Laboratory (provider)
- Main image

- Experimental details
- IHC-P on paraffin sections of human prostate. HIER: Tris-EDTA, pH 9 for 20 min using Thermo PT Module. Blocking: 0.2% LFDM in TBST filtered thru 0.2 um. Detection was done using Novolink HRP polymer from Leica following manufacturer's instructions. Primary antibody dilution 1: 1000, incubated 30 min at RT (using Autostainer) . Sections were counterstained with Harris Hematoxylin.
- Sample type
- NA
- Validation comment
- NA
- Primary Ab dilution
- NA
- Other comments
- NA
- Secondary Ab
- NA
- Secondary Ab dilution
- NA
- Protocol
- NA
Supportive validation
- Submitted by
- St John's Laboratory (provider)
- Main image

- Experimental details
- IHC-P on paraffin sections of human prostate. HIER: Tris-EDTA, pH 9 for 20 min using Thermo PT Module. Blocking: 0.2% LFDM in TBST filtered thru 0.2 um. Detection was done using Novolink HRP polymer from Leica following manufacturer's instructions. Primary antibody dilution 1: 1000, incubated 30 min at RT (using Autostainer) . Sections were counterstained with Harris Hematoxylin.
- Sample type
- NA
- Validation comment
- NA
- Primary Ab dilution
- NA
- Other comments
- NA
- Secondary Ab
- NA
- Secondary Ab dilution
- NA
- Protocol
- NA
Supportive validation
- Submitted by
- St John's Laboratory (provider)
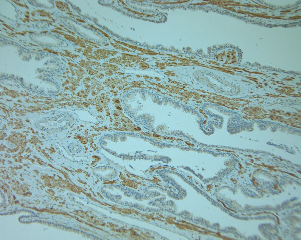
- Main image

- Experimental details
- IHC-P on paraffin sections of human small intestine. HIER: Tris-EDTA, pH 9 for 20 min using Thermo PT Module. Blocking: 0.2% LFDM in TBST filtered thru 0.2 um. Detection was done using Novolink HRP polymer from Leica following manufacturer's instructions. Primary antibody dilution 1: 1000, incubated 30 min at RT (using Autostainer) . Sections were counterstained with Harris Hematoxylin.
- Sample type
- NA
- Validation comment
- NA
- Primary Ab dilution
- NA
- Other comments
- NA
- Secondary Ab
- NA
- Secondary Ab dilution
- NA
- Protocol
- NA
Supportive validation
- Submitted by
- St John's Laboratory (provider)
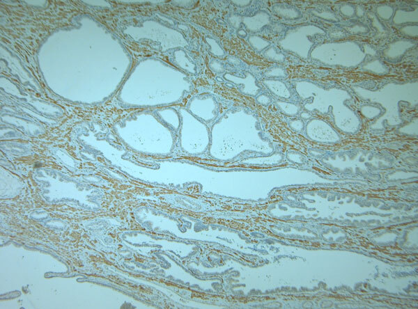
- Main image

- Experimental details
- IHC-P on paraffin sections of human small intestine. HIER: Tris-EDTA, pH 9 for 20 min using Thermo PT Module. Blocking: 0.2% LFDM in TBST filtered thru 0.2 um. Detection was done using Novolink HRP polymer from Leica following manufacturer's instructions. Primary antibody dilution 1: 1000, incubated 30 min at RT (using Autostainer) . Sections were counterstained with Harris Hematoxylin.
- Sample type
- NA
- Validation comment
- NA
- Primary Ab dilution
- NA
- Other comments
- NA
- Secondary Ab
- NA
- Secondary Ab dilution
- NA
- Protocol
- NA
Supportive validation
- Submitted by
- St John's Laboratory (provider)
- Main image

- Experimental details
- IHC-P on paraffin sections of human small intestine. HIER: Tris-EDTA, pH 9 for 20 min using Thermo PT Module. Blocking: 0.2% LFDM in TBST filtered thru 0.2 um. Detection was done using Novolink HRP polymer from Leica following manufacturer's instructions. Primary antibody dilution 1: 1000, incubated 30 min at RT (using Autostainer) . Sections were counterstained with Harris Hematoxylin.
- Sample type
- NA
- Validation comment
- NA
- Primary Ab dilution
- NA
- Other comments
- NA
- Secondary Ab
- NA
- Secondary Ab dilution
- NA
- Protocol
- NA
Supportive validation
- Submitted by
- St John's Laboratory (provider)
- Main image

- Experimental details
- IHC-P on paraffin sections of human small intestine. HIER: Tris-EDTA, pH 9 for 20 min using Thermo PT Module. Blocking: 0.2% LFDM in TBST filtered thru 0.2 um. Detection was done using Novolink HRP polymer from Leica following manufacturer's instructions. Primary antibody dilution 1: 1000, incubated 30 min at RT (using Autostainer) . Sections were counterstained with Harris Hematoxylin.
- Sample type
- NA
- Validation comment
- NA
- Primary Ab dilution
- NA
- Other comments
- NA
- Secondary Ab
- NA
- Secondary Ab dilution
- NA
- Protocol
- NA
Supportive validation
- Submitted by
- St John's Laboratory (provider)
- Main image

- Experimental details
- IHC-P on paraffin sections of human small intestine. HIER: Tris-EDTA, pH 9 for 20 min using Thermo PT Module. Blocking: 0.2% LFDM in TBST filtered thru 0.2 um. Detection was done using Novolink HRP polymer from Leica following manufacturer's instructions. Primary antibody dilution 1: 1000, incubated 30 min at RT (using Autostainer) . Sections were counterstained with Harris Hematoxylin.
- Sample type
- NA
- Validation comment
- NA
- Primary Ab dilution
- NA
- Other comments
- NA
- Secondary Ab
- NA
- Secondary Ab dilution
- NA
- Protocol
- NA
Supportive validation
- Submitted by
- St John's Laboratory (provider)
- Main image

- Experimental details
- IHC-P on paraffin sections of human small intestine. HIER: Tris-EDTA, pH 9 for 20 min using Thermo PT Module. Blocking: 0.2% LFDM in TBST filtered thru 0.2 um. Detection was done using Novolink HRP polymer from Leica following manufacturer's instructions. Primary antibody dilution 1: 1000, incubated 30 min at RT (using Autostainer) . Sections were counterstained with Harris Hematoxylin.
- Sample type
- NA
- Validation comment
- NA
- Primary Ab dilution
- NA
- Other comments
- NA
- Secondary Ab
- NA
- Secondary Ab dilution
- NA
- Protocol
- NA