Antibody data
- Antibody Data
 - Antigen structure
 - References [0]
 - Comments [0]
 - Validations
 - Immunocytochemistry [1]
 - Immunohistochemistry [7]
 
Submit
Validation data
Reference
Comment
Report error
- Product number
 - PA5-51435 - Provider product page

 - Provider
 - Invitrogen Antibodies
 - Product name
 - TECPR2 Polyclonal Antibody
 - Antibody type
 - Polyclonal
 - Antigen
 - Recombinant protein fragment
 - Description
 - Immunogen sequence: VSVHSSPNDQ MLWVLDSRWN VHVRTGITEE MPVGTAWEHV PGLQACQLAL STRTVWARCP NGDLARRYGV TDKNPAGDYW KKIPGSVSCF TVTASDELWA VGPPGYLLQR LTKTFSHSHG TQKSSQAAMP HPEDLEDEWE VI Highest antigen sequence identity to the following orthologs: Mouse - 89%, Rat - 89%.
 - Reactivity
 - Human
 - Host
 - Rabbit
 - Isotype
 - IgG
 - Vial size
 - 100 μL
 - Concentration
 - 0.2 mg/mL
 - Storage
 - Store at 4°C short term. For long term storage, store at -20°C, avoiding freeze/thaw cycles.
 
				No comments: Submit comment	
	
			
							
					Supportive validation
					
									
				
				- Submitted by
 - Invitrogen Antibodies (provider)
 - Main image
 
- Experimental details
 - Immunofluorecent analysis of TECPR2 in human cell line MCF7 using TECPR2 Polyclonal Antibody (Product # PA5-51435). Staining shows localization to nucleus.
 
							
					Supportive validation
					
									
				
		- Submitted by
 - Invitrogen Antibodies (provider)
 - Main image
 
- Experimental details
 - Immunohistochemical analysis of TECPR2 in human lymphoid tissues using TECPR2 Polyclonal Antibody (Product # PA5-51435) shows no positivity in germinal center cells.
 
- Submitted by
 - Invitrogen Antibodies (provider)
 - Main image
 
- Experimental details
 - Immunohistochemical analysis of TECPR2 in human testis using TECPR2 Polyclonal Antibody (Product # PA5-51435) shows strong cytoplasmic positivity in cells in seminiferous ducts.
 
- Submitted by
 - Invitrogen Antibodies (provider)
 - Main image
 
- Experimental details
 - Immunohistochemical staining of TECPR2 in human cerebral cortex and colon tissues using TECPR2 Polyclonal Antibody (Product # PA5-51435). Corresponding TECPR2 RNA-seq data are presented for the same tissues.
 
- Submitted by
 - Invitrogen Antibodies (provider)
 - Main image
 
- Experimental details
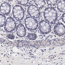
 - Immunohistochemical staining of TECPR2 in human colon using TECPR2 Polyclonal Antibody (Product # PA5-51435) shows low expression as expected.
 
- Submitted by
 - Invitrogen Antibodies (provider)
 - Main image
 
- Experimental details
 - Immunohistochemical analysis of TECPR2 in human lymphoid tissues using TECPR2 Polyclonal Antibody (Product # PA5-51435) shows no positivity in germinal center cells.
 
- Submitted by
 - Invitrogen Antibodies (provider)
 - Main image
 
- Experimental details
 - Immunohistochemical analysis of TECPR2 in human testis using TECPR2 Polyclonal Antibody (Product # PA5-51435) shows strong cytoplasmic positivity in cells in seminiferous ducts.
 
- Submitted by
 - Invitrogen Antibodies (provider)
 - Main image
 
- Experimental details
 - Immunohistochemical staining of TECPR2 in human cerebral cortex and colon tissues using TECPR2 Polyclonal Antibody (Product # PA5-51435). Corresponding TECPR2 RNA-seq data are presented for the same tissues.