PAB27814
antibody from Abnova Corporation
Targeting: SCN5A
CDCD2, CMD1E, CMPD2, HB1, HB2, HBBD, HH1, ICCD, IVF, LQT3, Nav1.5, PFHB1, SSS1
Antibody data
- Antibody Data
- Antigen structure
- References [0]
- Comments [0]
- Validations
- Immunohistochemistry [1]
Submit
Validation data
Reference
Comment
Report error
- Product number
- PAB27814 - Provider product page

- Provider
- Abnova Corporation
- Product name
- SCN5A polyclonal antibody
- Antibody type
- Polyclonal
- Description
- Rabbit polyclonal antibody raised against synthetic peptide of SCN5A.
- Storage
- Store at 4°C. For long term storage store at -80°C.Aliquot to avoid repeated freezing and thawing.
No comments: Submit comment
Supportive validation
- Submitted by
- Abnova Corporation (provider)
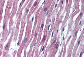
- Main image

- Experimental details
- Immunohistochemistry (Formalin/PFA-fixed paraffin-embedded sections) of human heart tissue with SCN5A polyclonal antibody (Cat # PAB27814). Immunohistochemistry of formalin-fixed, paraffin-embedded tissue after heat-induced antigen retrieval.
- Validation comment
- Immunohistochemistry (Formalin/PFA-fixed paraffin-embedded sections)