Antibody data
- Antibody Data
- Antigen structure
- References [0]
- Comments [0]
- Validations
- Immunocytochemistry [2]
- Immunohistochemistry [2]
Submit
Validation data
Reference
Comment
Report error
- Product number
- MA5-34890 - Provider product page

- Provider
- Invitrogen Antibodies
- Product name
- PLEKHH1 Monoclonal Antibody (3-E11)
- Antibody type
- Monoclonal
- Antigen
- Recombinant full-length protein
- Description
- Positive Control: MCF-7, A431, SH-SY5Y, human kidney tissue, mouse kidney tissue.
- Reactivity
- Human
- Host
- Mouse
- Isotype
- IgG
- Antibody clone number
- 3-E11
- Vial size
- 100 μL
- Concentration
- 2 mg/mL
- Storage
- -20°C, Avoid Freeze/Thaw Cycles, store in dark
No comments: Submit comment
Supportive validation
- Submitted by
- Invitrogen Antibodies (provider)
- Main image

- Experimental details
- Immunofluorescent analysis of PLEKHH1 in A431 cells (green). Samples were fixed in paraformaldehyde and permeabilised with 0.25% Triton X100/PBS, incubated with PLEKHH1 monoclonal antibody (Product # MA5-34890), followed by DAPI (blue).
- Submitted by
- Invitrogen Antibodies (provider)
- Main image

- Experimental details
- Immunofluorescent analysis of PLEKHH1 in A431 cells (green). Samples were fixed in paraformaldehyde and permeabilised with 0.25% Triton X100/PBS, incubated with PLEKHH1 monoclonal antibody (Product # MA5-34890), followed by DAPI (blue).
Supportive validation
- Submitted by
- Invitrogen Antibodies (provider)
- Main image

- Experimental details
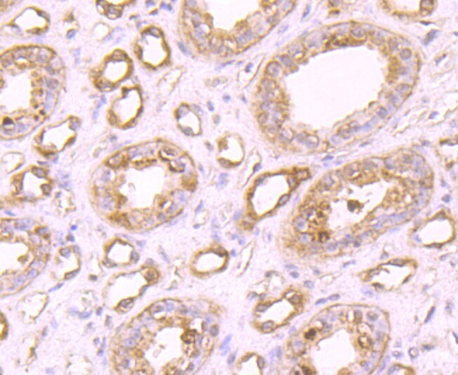
- Immunohistochemistry analysis of PLEKHH1 in paraffin-embedded human kidney tissue. Samples were incubated with PLEKHH1 monoclonal antibody (Product # MA5-34890), and followed by hematoxylin.
- Submitted by
- Invitrogen Antibodies (provider)
- Main image

- Experimental details
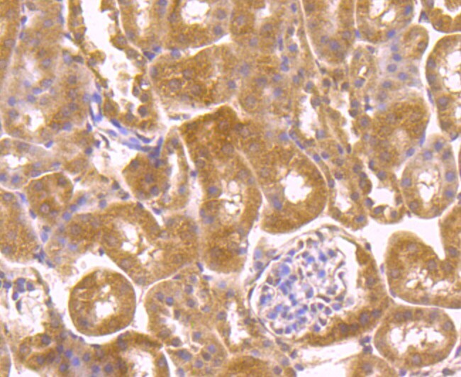
- Immunohistochemistry analysis of PLEKHH1 in paraffin-embedded mouse kidney tissue. Samples were incubated with PLEKHH1 monoclonal antibody (Product # MA5-34890), and followed by hematoxylin.