Antibody data
- Antibody Data
 - Antigen structure
 - References [0]
 - Comments [0]
 - Validations
 - Western blot [2]
 - Immunohistochemistry [2]
 
Submit
Validation data
Reference
Comment
Report error
- Product number
 - LS-C99926 - Provider product page

 - Provider
 - LSBio
 - Proper citation
 - LifeSpan Cat#LS-C99926, RRID:AB_2293592
 - Product name
 - EPHA7 / EPH Receptor A7 Antibody (aa896-925) LS-C99926
 - Antibody type
 - Polyclonal
 - Description
 - Ammonium sulfate precipitation
 - Reactivity
 - Human
 - Host
 - Rabbit
 - Storage
 - Maintain refrigerated at 2°C to 8°C for up to 6 months. For long term storage store at -20°C.
 
				No comments: Submit comment	
	
			
							
					Enhanced validation
					
									
				
				- Submitted by
 - LSBio (provider)
 - Enhanced method
 - Genetic validation
 - Main image
 
- Experimental details
 - Western blot of EPHA7 (arrow) using EphA7 Antibody. 293 cell lysates (2 ug/lane) either nontransfected (Lane 1) or transiently transfected with the EPHA7 gene (Lane 2) (Origene Technologies).
 
- Submitted by
 - LSBio (provider)
 - Enhanced method
 - Genetic validation
 - Main image
 
- Experimental details
 - Western blot of anti-EphA7 antibody in NCI-H460 cell lysate. EphA7 (arrow) was detected using purified antibody. Secondary HRP-anti-rabbit was used for signal visualization with chemiluminescence.
 
							
					Enhanced validation
					
									
				
		- Submitted by
 - LSBio (provider)
 - Enhanced method
 - Genetic validation
 - Main image
 
- Experimental details
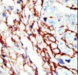
 - Formalin-fixed and paraffin-embedded human cancer tissue reacted with the primary antibody, which was peroxidase-conjugated to the secondary antibody, followed by AEC staining. This data demonstrates the use of this antibody for immunohistochemistry; clinical relevance has not been evaluated. BC = breast carcinoma; HC = hepatocarcinoma.
 
- Submitted by
 - LSBio (provider)
 - Main image
 
- Experimental details
 - Formalin-fixed and paraffin-embedded human cancer tissue reacted with the primary antibody, which was peroxidase-conjugated to the secondary antibody, followed by AEC staining. This data demonstrates the use of this antibody for immunohistochemistry; clinical relevance has not been evaluated. BC = breast carcinoma; HC = hepatocarcinoma.