Antibody data
- Antibody Data
- Antigen structure
- References [0]
- Comments [0]
- Validations
- Immunohistochemistry [4]
Submit
Validation data
Reference
Comment
Report error
- Product number
- PA5-62565 - Provider product page

- Provider
- Invitrogen Antibodies
- Product name
- C7orf26 Polyclonal Antibody
- Antibody type
- Polyclonal
- Antigen
- Recombinant full-length protein
- Description
- Immunogen sequence: AKEVLYHLDI YFSSQLQSAP LPIVDKGPVE LLEEFVFQVP KERSAQPKRL NSLQELQLLE IMCNYFQEQT KDSVRQIIFS SLFSPQGNKA DDSRMSLLGK LVSM Highest antigen sequence identity to the following orthologs: Mouse - 96%, Rat - 52%.
- Reactivity
- Human
- Host
- Rabbit
- Isotype
- IgG
- Vial size
- 100 μL
- Concentration
- 0.1 mg/mL
- Storage
- Store at 4°C short term. For long term storage, store at -20°C, avoiding freeze/thaw cycles.
No comments: Submit comment
Supportive validation
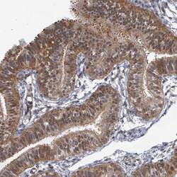
- Submitted by
- Invitrogen Antibodies (provider)
- Main image

- Experimental details
- Immunohistochemical analysis of C7orf26 in human fallopian tube using C7orf26 Polyclonal Antibody (Product # PA5-62565) shows strong cytoplasmic positivity in glandular cells.
- Submitted by
- Invitrogen Antibodies (provider)
- Main image

- Experimental details
- Immunohistochemical analysis of C7orf26 in human liver using C7orf26 Polyclonal Antibody (Product # PA5-62565) shows strong cytoplasmic positivity in hepatocytes.
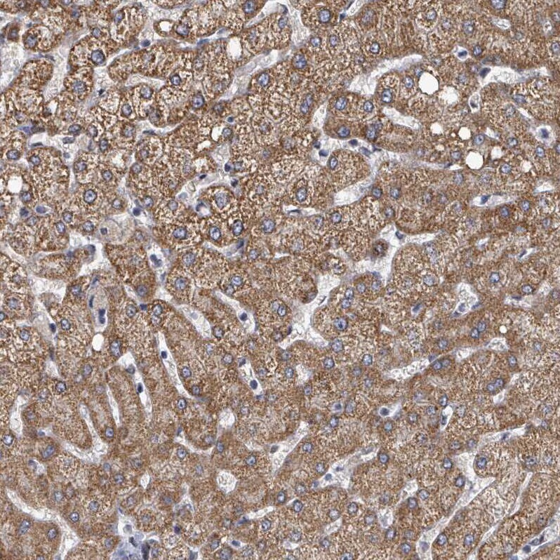
- Submitted by
- Invitrogen Antibodies (provider)
- Main image

- Experimental details
- Immunohistochemical analysis of C7orf26 in human skeletal muscle using C7orf26 Polyclonal Antibody (Product # PA5-62565) shows weak cytoplasmic positivity in myocytes.
- Submitted by
- Invitrogen Antibodies (provider)
- Main image

- Experimental details
- Immunohistochemical analysis of C7orf26 in human tonsil using C7orf26 Polyclonal Antibody (Product # PA5-62565) shows strong cytoplasmic positivity in germinal center cells.