Antibody data
- Antibody Data
- Antigen structure
- References [0]
- Comments [0]
- Validations
- Immunohistochemistry [1]
Submit
Validation data
Reference
Comment
Report error
- Product number
- NBP2-13492 - Provider product page

- Provider
- Novus Biologicals
- Product name
- Rabbit Polyclonal TTLL13 Antibody
- Antibody type
- Polyclonal
- Antigen
- This antibody was developed against Recombinant Protein corresponding to amino acids: PSFTTDSCLDQEVKDALLCDAMTLVNLRGCDKRKVMEEDKRRVKERLFQC YRQPRESRCARCLACV
- Reactivity
- Human
- Host
- Rabbit
- Vial size
- 0.1 ml
- Storage
- Store at 4° short term. Aliquot and store at -20° long term. Avoid freeze-thaw cycles.
No comments: Submit comment
Supportive validation
- Submitted by
- Novus Biologicals (provider)
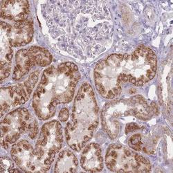
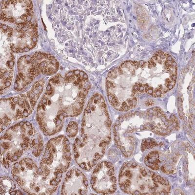
- Main image

- Experimental details
- Immunohistochemistry: TTLL13 Antibody [NBP2-13492] - Staining of human kidney shows strong cytoplasmic positivity in cells in tubules.