Antibody data
- Antibody Data
- Antigen structure
- References [0]
- Comments [0]
- Validations
- Immunohistochemistry [2]
- Blocking/Neutralizing [1]
Submit
Validation data
Reference
Comment
Report error
- Product number
- LS-C405546 - Provider product page 
- Provider
- LSBio
- Product name
- GJB6 / CX30 / Connexin 30 Antibody LS-C405546
- Antibody type
- Polyclonal
- Description
- Affinity purification
- Reactivity
- Human, Mouse
- Host
- Rabbit
- Isotype
- IgG
- Storage
- Store at -20°C. Avoid freeze-thaw cycles.
				No comments: Submit comment	
	
			
							
					Supportive validation
					
									
				
				- Submitted by
- LSBio (provider)
- Main image
 
- Experimental details
- Immunohistochemistry of paraffin-embedded Human brain using GJB6 Polyclonal Antibody at dilution of 1:60.
- Submitted by
- LSBio (provider)
- Main image
 
- Experimental details
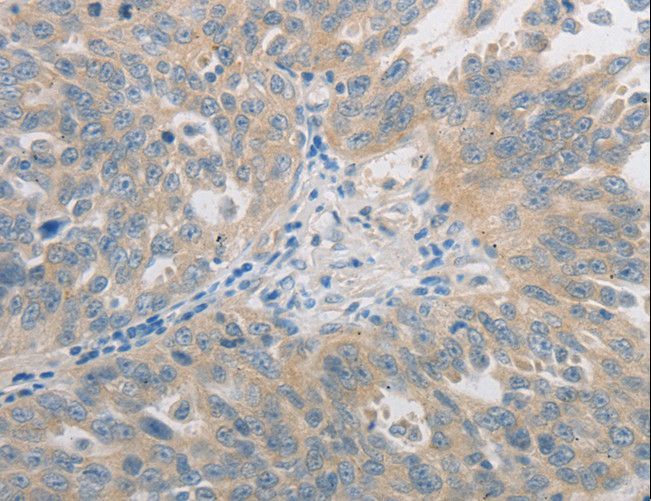
- Immunohistochemistry of paraffin-embedded Human ovarian cancer using GJB6 Polyclonal Antibody at dilution of 1:60.
							
					Supportive validation
					
									
				
		- Submitted by
- LSBio (provider)
- Main image
 
- Experimental details
- Western blot analysis of 293T cell, using GJB6 Polyclonal Antibody at dilution of 1:1040.