Antibody data
- Antibody Data
- Antigen structure
- References [0]
- Comments [0]
- Validations
- Immunohistochemistry [1]
Submit
Validation data
Reference
Comment
Report error
- Product number
- TA314733 - Provider product page

- Provider
- OriGene
- Product name
- Rabbit polyclonal Histone H2A (Thr121) antibody(Phospho-specific)
- Antibody type
- Polyclonal
- Description
- Rabbit polyclonal Histone H2A (Thr121) antibody(Phospho-specific)
- Host
- Rabbit
- Conjugate
- Unconjugated
- Epitope
- HIST1H2AI
- Isotype
- IgG
- Antibody clone number
- NULL
- Vial size
- 100 µl
- Concentration
- 1mg/ml
No comments: Submit comment
Supportive validation
- Submitted by
- OriGene (provider)
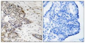
- Main image

- Experimental details
- Immunohistochemistry analysis of paraffin-embedded human colon carcinoma tissue using Histone H2A (Phospho-Thr121) antibody.The picture on the right is treated with the synthesized peptide.
- Validation comment
- IHC