Antibody data
- Antibody Data
- Antigen structure
- References [0]
- Comments [0]
- Validations
- Western blot [2]
- ELISA [3]
- Immunohistochemistry [3]
Submit
Validation data
Reference
Comment
Report error
- Product number
- LS-C169159 - Provider product page

- Provider
- LSBio
- Product name
- FOXO1 / FKHR Antibody (clone 3B6) LS-C169159
- Antibody type
- Monoclonal
- Description
- Purified
- Reactivity
- Human
- Host
- Mouse
- Isotype
- IgG
- Antibody clone number
- 3B6
- Storage
- Short term: store at 4°C. Long term: store at -20°C.
No comments: Submit comment
Enhanced validation
- Submitted by
- LSBio (provider)
- Enhanced method
- Genetic validation
- Main image

- Experimental details
- Western blot using FOXO1 monoclonal antibody against human FOXO1 (AA: 471-600) recombinant protein. (Expected MW is 39.3 kDa)
- Submitted by
- LSBio (provider)
- Enhanced method
- Genetic validation
- Main image

- Experimental details
- Western blot using FOXO1 mouse monoclonal antibody against HeLa (1), HEK293 (2), MCF-7(3), and C6 (4) cell lysate.
Supportive validation
- Submitted by
- LSBio (provider)
- Enhanced method
- Genetic validation
- Main image

- Experimental details
- Red: Control Antigen (100ng); Purple: Antigen (10ng); Green: Antigen (50ng); Blue: Antigen (100ng);
- Submitted by
- LSBio (provider)
- Main image

- Experimental details
- Red: Control Antigen (100ng); Purple: Antigen (10ng); Green: Antigen (50ng); Blue: Antigen (100ng);
- Submitted by
- LSBio (provider)
- Main image

- Experimental details
- Red: Control Antigen (100ng); Purple: Antigen (10ng); Green: Antigen (50ng); Blue: Antigen (100ng);
Enhanced validation
- Submitted by
- LSBio (provider)
- Enhanced method
- Genetic validation
- Main image

- Experimental details
- IHC of paraffin-embedded intima cancer tissues using FOXO1 mouse monoclonal antibody with DAB staining.
- Submitted by
- LSBio (provider)
- Enhanced method
- Genetic validation
- Main image

- Experimental details
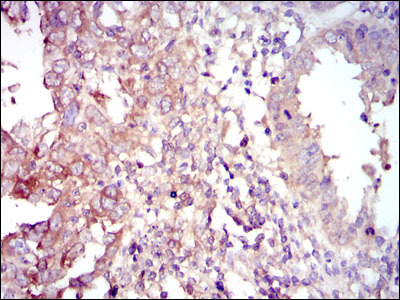
- IHC of paraffin-embedded intima cancer tissues using FOXO1 mouse monoclonal antibody with DAB staining.
- Submitted by
- LSBio (provider)
- Main image

- Experimental details
- IHC of paraffin-embedded intima cancer tissues using FOXO1 mouse monoclonal antibody with DAB staining.