Antibody data
- Antibody Data
- Antigen structure
- References [8]
- Comments [0]
- Validations
- Western blot [2]
- Immunoprecipitation [1]
- Immunohistochemistry [1]
Submit
Validation data
Reference
Comment
Report error
- Product number
- NB100-2312 - Provider product page

- Provider
- Novus Biologicals
- Proper citation
- Novus Cat#NB100-2312, RRID:AB_10000747
- Product name
- Rabbit Polyclonal FoxO1/FKHR Antibody
- Antibody type
- Polyclonal
- Description
- Immunogen affinity purified.
- Reactivity
- Human, Mouse
- Host
- Rabbit
- Isotype
- IgG
- Vial size
- 0.1 ml
- Concentration
- 1.0 mg/ml
- Storage
- Store at 4C. Do not freeze.
Submitted references PPARγ Links BMP2 and TGFβ1 Pathways in Vascular Smooth Muscle Cells, Regulating Cell Proliferation and Glucose Metabolism.
Pro-proliferative and inflammatory signaling converge on FoxO1 transcription factor in pulmonary hypertension.
Progesterone inhibits epithelial-to-mesenchymal transition in endometrial cancer.
Increased activation of the PI3K/AKT pathway compromises decidualization of stromal cells from endometriosis.
FOXO3a regulates glycolysis via transcriptional control of tumor suppressor TSC1.
Restoration of p53 functions protects cells from concanavalin A-induced apoptosis.
Progestins activate the AKT pathway in leiomyoma cells and promote survival.
The regulation and function of the forkhead transcription factor, Forkhead box O1, is dependent on the progesterone receptor in endometrial carcinoma.
Calvier L, Chouvarine P, Legchenko E, Hoffmann N, Geldner J, Borchert P, Jonigk D, Mozes MM, Hansmann G
Cell metabolism 2017 May 2;25(5):1118-1134.e7
Cell metabolism 2017 May 2;25(5):1118-1134.e7
Pro-proliferative and inflammatory signaling converge on FoxO1 transcription factor in pulmonary hypertension.
Savai R, Al-Tamari HM, Sedding D, Kojonazarov B, Muecke C, Teske R, Capecchi MR, Weissmann N, Grimminger F, Seeger W, Schermuly RT, Pullamsetti SS
Nature medicine 2014 Nov;20(11):1289-300
Nature medicine 2014 Nov;20(11):1289-300
Progesterone inhibits epithelial-to-mesenchymal transition in endometrial cancer.
van der Horst PH, Wang Y, Vandenput I, Kühne LC, Ewing PC, van Ijcken WF, van der Zee M, Amant F, Burger CW, Blok LJ
PloS one 2012;7(1):e30840
PloS one 2012;7(1):e30840
Increased activation of the PI3K/AKT pathway compromises decidualization of stromal cells from endometriosis.
Yin X, Pavone ME, Lu Z, Wei J, Kim JJ
The Journal of clinical endocrinology and metabolism 2012 Jan;97(1):E35-43
The Journal of clinical endocrinology and metabolism 2012 Jan;97(1):E35-43
FOXO3a regulates glycolysis via transcriptional control of tumor suppressor TSC1.
Khatri S, Yepiskoposyan H, Gallo CA, Tandon P, Plas DR
The Journal of biological chemistry 2010 May 21;285(21):15960-5
The Journal of biological chemistry 2010 May 21;285(21):15960-5
Restoration of p53 functions protects cells from concanavalin A-induced apoptosis.
Amin AR, Thakur VS, Gupta K, Jackson MW, Harada H, Agarwal MK, Shin DM, Wald DN, Agarwal ML
Molecular cancer therapeutics 2010 Feb;9(2):471-9
Molecular cancer therapeutics 2010 Feb;9(2):471-9
Progestins activate the AKT pathway in leiomyoma cells and promote survival.
Hoekstra AV, Sefton EC, Berry E, Lu Z, Hardt J, Marsh E, Yin P, Clardy J, Chakravarti D, Bulun S, Kim JJ
The Journal of clinical endocrinology and metabolism 2009 May;94(5):1768-74
The Journal of clinical endocrinology and metabolism 2009 May;94(5):1768-74
The regulation and function of the forkhead transcription factor, Forkhead box O1, is dependent on the progesterone receptor in endometrial carcinoma.
Ward EC, Hoekstra AV, Blok LJ, Hanifi-Moghaddam P, Lurain JR, Singh DK, Buttin BM, Schink JC, Kim JJ
Endocrinology 2008 Apr;149(4):1942-50
Endocrinology 2008 Apr;149(4):1942-50
No comments: Submit comment
Supportive validation
- Submitted by
- Novus Biologicals (provider)
- Main image

- Experimental details
- Western Blot: FoxO1/FKHR Antibody [NB100-2312] - HeLa whole cell lysate. IP was controlled using a rabbit antibody to an unrelated protein.
- Submitted by
- Novus Biologicals (provider)
- Main image

- Experimental details
- Western Blot: FoxO1/FKHR Antibody [NB100-2312] - Detection of Human FOXO1a by Western Blot. Samples: Whole cell lysate from 293T, HeLa, and Jurkat cells prepared using NETN lysis buffer. Antibody: Affinity purified rabbit anti-FOXO1a antibody NB100-2312 used for WB at 0.1 ug/ml. Detection: Chemiluminescence with an exposure time of 3 minutes.
Supportive validation
- Submitted by
- Novus Biologicals (provider)
- Main image

- Experimental details
- Immunoprecipitation: FoxO1/FKHR Antibody [NB100-2312] - Detection of human FOXO1a by western blot of immunoprecipitates. Samples: Whole cell lysate (0.5 or 1.0 mg per IP reaction; 20% of IP loaded) from HEK293T cells prepared using NETN lysis buffer. Antibodies: Affinity purified rabbit anti-FOXO1a antibody NB100-2312 (lot NB100-2312-3) used for IP at 6 ug per reaction. FOXO1a was also immunoprecipitated by a previous lot of this antibody (lot NB100-2312-2). For blotting immunoprecipitated FOXO1a, NB100-2312 was used at 0.4 ug/ml. Detection: Chemiluminescence with an exposure time of 30 seconds.
Supportive validation
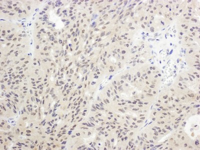
- Submitted by
- Novus Biologicals (provider)
- Main image

- Experimental details
- Immunohistochemistry: FoxO1/FKHR Antibody [NB100-2312] - Sample: FFPE section of human ovarian carcinoma. Antibody: Affinity purified rabbit anti-FOXO1a used at a dilution of 1:500 (2ug/ml). Detection: DAB.