NBP1-81767
antibody from Novus Biologicals
Targeting: MAP3K7CL
C21orf7, TAK1L, TAKL, TAKL-1, TAKL-2, TAKL-4
Antibody data
- Antibody Data
- Antigen structure
- References [1]
- Comments [0]
- Validations
- Immunohistochemistry [1]
Submit
Validation data
Reference
Comment
Report error
- Product number
- NBP1-81767 - Provider product page

- Provider
- Novus Biologicals
- Proper citation
- Novus Cat#NBP1-81767, RRID:AB_11036882
- Product name
- Rabbit Polyclonal TAK1L Antibody
- Antibody type
- Polyclonal
- Description
- Immunogen affinity purified. Specificity of human TAK1L antibody verified on a Protein Array containing target protein plus 383 other non-specific proteins.
- Reactivity
- Human
- Host
- Rabbit
- Isotype
- IgG
- Vial size
- 0.1 ml
- Storage
- Store at 4C short term. Aliquot and store at -20C long term. Avoid freeze-thaw cycles.
Submitted references Immunofluorescence and fluorescent-protein tagging show high correlation for protein localization in mammalian cells.
Stadler C, Rexhepaj E, Singan VR, Murphy RF, Pepperkok R, Uhlén M, Simpson JC, Lundberg E
Nature methods 2013 Apr;10(4):315-23
Nature methods 2013 Apr;10(4):315-23
No comments: Submit comment
Supportive validation
- Submitted by
- Novus Biologicals (provider)
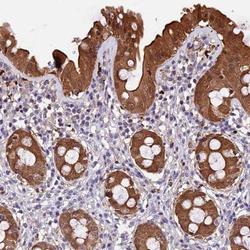
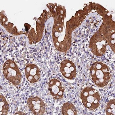
- Main image

- Experimental details
- Immunohistochemistry: TAK1L Antibody [NBP1-81767] - Staining of human rectum shows moderate cytoplasmic and nuclear positivity in glandular cells.