Antibody data
- Antibody Data
- Antigen structure
- References [18]
- Comments [0]
- Validations
- Western blot [1]
- Immunohistochemistry [2]
Submit
Validation data
Reference
Comment
Report error
- Product number
- 15346-1-AP - Provider product page

- Provider
- Proteintech Group
- Proper citation
- Proteintech Cat#15346-1-AP, RRID:AB_2081073
- Product name
- CKMT1A antibody
- Antibody type
- Polyclonal
- Description
- KD/KO validated CKMT1A antibody (Cat. #15346-1-AP) is a rabbit polyclonal antibody that shows reactivity with human, mouse, rat and has been validated for the following applications: IHC, IP, WB, ELISA.
- Reactivity
- Human, Mouse, Rat
- Host
- Rabbit
- Conjugate
- Unconjugated
- Isotype
- IgG
- Vial size
- 20ul, 150ul
Submitted references CKB Promotes Mitochondrial ATP Production by Suppressing Permeability Transition Pore.
Context-dependent roles for ubiquitous mitochondrial creatine kinase CKMT1 in breast cancer progression.
Mitochondrial phosphagen kinases support the volatile power demands of motor nerve terminals.
Ryanodine receptor 2 promotes colorectal cancer metastasis by the ROS/BACH1 axis.
A Zeb1/MtCK1 metabolic axis controls osteoclast activation and skeletal remodeling.
Investigations into photoreceptor energy metabolism during experimental retinal detachment.
Functional antagonism between ΔNp63α and GCM1 regulates human trophoblast stemness and differentiation.
Mitochondrial creatine kinase 1 in non-small cell lung cancer progression and hypoxia adaptation.
Accumulation of Carbonyl Proteins in the Brain of Mouse Model for Methylglyoxal Detoxification Deficits.
Investigations Into Bioenergetic Neuroprotection of Cone Photoreceptors: Relevance to Retinitis Pigmentosa.
Creatine is Neuroprotective to Retinal Neurons In Vitro But Not In Vivo.
Distribution and Activity of Mitochondrial Proteins in Vascular and Avascular Retinas: Implications for Retinal Metabolism.
Tyrosine Phosphorylation of Mitochondrial Creatine Kinase 1 Enhances a Druggable Tumor Energy Shuttle Pathway.
Three human aminoacyl-tRNA synthetases have distinct sub-mitochondrial localizations that are unaffected by disease-associated mutations.
Characterization of brown adipose tissue in the human perirenal depot.
Increased serum mitochondrial creatine kinase activity as a risk for hepatocarcinogenesis in chronic hepatitis C patients.
Reconstitution of CKMT1 expression fails to rescue cells from mitochondrial membrane potential dissipation: implications for controlling RNAi experiments.
Gene expression in human brown adipose tissue.
He L, Lin J, Lu S, Li H, Chen J, Wu X, Yan Q, Liu H, Li H, Shi Y
Advanced science (Weinheim, Baden-Wurttemberg, Germany) 2024 Aug;11(31):e2403093
Advanced science (Weinheim, Baden-Wurttemberg, Germany) 2024 Aug;11(31):e2403093
Context-dependent roles for ubiquitous mitochondrial creatine kinase CKMT1 in breast cancer progression.
Ayyappan V, Jenkinson NM, Tressler CM, Tan Z, Cheng M, Shen XE, Guerrero A, Sonkar K, Cai R, Adelaja O, Roy S, Meeker A, Argani P, Glunde K
Cell reports 2024 Apr 23;43(4):114121
Cell reports 2024 Apr 23;43(4):114121
Mitochondrial phosphagen kinases support the volatile power demands of motor nerve terminals.
Justs KA, Sempertegui S, Riboul DV, Oliva CD, Durbin RJ, Crill S, Stawarski M, Su C, Renden RB, Fily Y, Macleod GT
The Journal of physiology 2023 Dec;601(24):5705-5732
The Journal of physiology 2023 Dec;601(24):5705-5732
Ryanodine receptor 2 promotes colorectal cancer metastasis by the ROS/BACH1 axis.
Chen T, Zhang X, Ding X, Feng J, Zhang X, Xie D, Wang X
Molecular oncology 2023 Apr;17(4):695-709
Molecular oncology 2023 Apr;17(4):695-709
A Zeb1/MtCK1 metabolic axis controls osteoclast activation and skeletal remodeling.
Zhu L, Tang Y, Li XY, Kerk SA, Lyssiotis CA, Feng W, Sun X, Hespe GE, Wang Z, Stemmler MP, Brabletz S, Brabletz T, Keller ET, Ma J, Cho JS, Yang J, Weiss SJ
The EMBO journal 2023 Apr 3;42(7):e111148
The EMBO journal 2023 Apr 3;42(7):e111148
Investigations into photoreceptor energy metabolism during experimental retinal detachment.
Chidlow G, Chan WO, Wood JPM, Casson RJ
Frontiers in cellular neuroscience 2022;16:1036834
Frontiers in cellular neuroscience 2022;16:1036834
Functional antagonism between ΔNp63α and GCM1 regulates human trophoblast stemness and differentiation.
Wang LJ, Chen CP, Lee YS, Ng PS, Chang GD, Pao YH, Lo HF, Peng CH, Cheong ML, Chen H
Nature communications 2022 Mar 25;13(1):1626
Nature communications 2022 Mar 25;13(1):1626
Mitochondrial creatine kinase 1 in non-small cell lung cancer progression and hypoxia adaptation.
Li M, Liu H, Li J, Guo S, Lv Y
Respiratory research 2021 Jul 1;22(1):190
Respiratory research 2021 Jul 1;22(1):190
Accumulation of Carbonyl Proteins in the Brain of Mouse Model for Methylglyoxal Detoxification Deficits.
Koike S, Toriumi K, Kasahara S, Kibune Y, Ishida YI, Dan T, Miyata T, Arai M, Ogasawara Y
Antioxidants (Basel, Switzerland) 2021 Apr 8;10(4)
Antioxidants (Basel, Switzerland) 2021 Apr 8;10(4)
Investigations Into Bioenergetic Neuroprotection of Cone Photoreceptors: Relevance to Retinitis Pigmentosa.
Narayan DS, Chidlow G, Wood JPM, Casson RJ
Frontiers in neuroscience 2019;13:1234
Frontiers in neuroscience 2019;13:1234
Creatine is Neuroprotective to Retinal Neurons In Vitro But Not In Vivo.
Sia PI, Wood JPM, Chidlow G, Casson R
Investigative ophthalmology & visual science 2019 Oct 1;60(13):4360-4377
Investigative ophthalmology & visual science 2019 Oct 1;60(13):4360-4377
Distribution and Activity of Mitochondrial Proteins in Vascular and Avascular Retinas: Implications for Retinal Metabolism.
Chidlow G, Wood JPM, Sia PI, Casson RJ
Investigative ophthalmology & visual science 2019 Jan 2;60(1):331-344
Investigative ophthalmology & visual science 2019 Jan 2;60(1):331-344
Tyrosine Phosphorylation of Mitochondrial Creatine Kinase 1 Enhances a Druggable Tumor Energy Shuttle Pathway.
Kurmi K, Hitosugi S, Yu J, Boakye-Agyeman F, Wiese EK, Larson TR, Dai Q, Machida YJ, Lou Z, Wang L, Boughey JC, Kaufmann SH, Goetz MP, Karnitz LM, Hitosugi T
Cell metabolism 2018 Dec 4;28(6):833-847.e8
Cell metabolism 2018 Dec 4;28(6):833-847.e8
Three human aminoacyl-tRNA synthetases have distinct sub-mitochondrial localizations that are unaffected by disease-associated mutations.
González-Serrano LE, Karim L, Pierre F, Schwenzer H, Rötig A, Munnich A, Sissler M
The Journal of biological chemistry 2018 Aug 31;293(35):13604-13615
The Journal of biological chemistry 2018 Aug 31;293(35):13604-13615
Characterization of brown adipose tissue in the human perirenal depot.
Svensson PA, Lindberg K, Hoffmann JM, Taube M, Pereira MJ, Mohsen-Kanson T, Hafner AL, Rizell M, Palming J, Dani C, Svensson MK
Obesity (Silver Spring, Md.) 2014 Aug;22(8):1830-7
Obesity (Silver Spring, Md.) 2014 Aug;22(8):1830-7
Increased serum mitochondrial creatine kinase activity as a risk for hepatocarcinogenesis in chronic hepatitis C patients.
Enooku K, Nakagawa H, Soroida Y, Ohkawa R, Kageyama Y, Uranbileg B, Watanabe N, Tateishi R, Yoshida H, Koike K, Yatomi Y, Ikeda H
International journal of cancer 2014 Aug 15;135(4):871-9
International journal of cancer 2014 Aug 15;135(4):871-9
Reconstitution of CKMT1 expression fails to rescue cells from mitochondrial membrane potential dissipation: implications for controlling RNAi experiments.
Datler C, Grimm S
Biochimica et biophysica acta 2013 Dec;1833(12):2844-2855
Biochimica et biophysica acta 2013 Dec;1833(12):2844-2855
Gene expression in human brown adipose tissue.
Svensson PA, Jernås M, Sjöholm K, Hoffmann JM, Nilsson BE, Hansson M, Carlsson LM
International journal of molecular medicine 2011 Feb;27(2):227-32
International journal of molecular medicine 2011 Feb;27(2):227-32
No comments: Submit comment
Supportive validation
- Submitted by
- Proteintech Group (provider)
- Main image

- Experimental details
- mouse skeletal muscle tissue were subjected to SDS PAGE followed by western blot with 15346-1-AP(CKMT1A antibody) at dilution of 1:300
- Sample type
- tissue
Supportive validation
- Submitted by
- Proteintech Group (provider)
- Main image

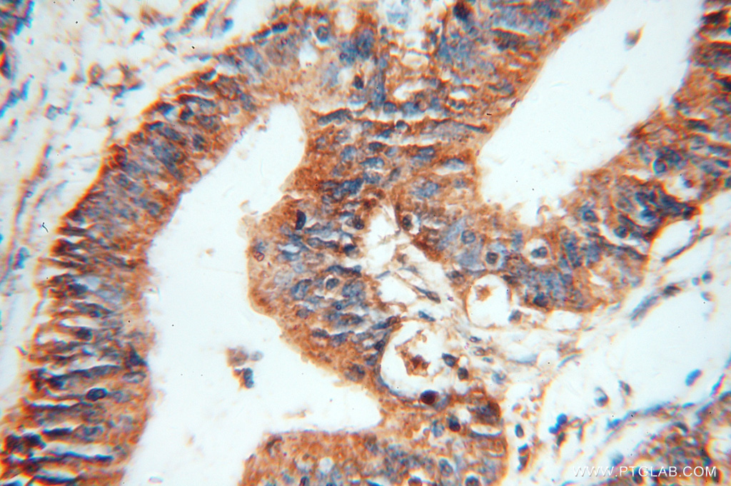
- Experimental details
- Immunohistochemical of paraffin-embedded human colon cancer using 15346-1-AP(CKMT1A antibody) at dilution of 1:50 (under 10x lens)
- Sample type
- tissue
- Submitted by
- Proteintech Group (provider)
- Main image

- Experimental details
- The CKMT1A antibody from Proteintech is a rabbit polyclonal antibody to a recombinant protein of human CKMT1A. This antibody recognizes human,mouse,rat antigen. The CKMT1A antibody has been validated for the following applications: ELISA, WB, IHC analysis.