Antibody data
- Antibody Data
- Antigen structure
- References [0]
- Comments [0]
- Validations
- Western blot [1]
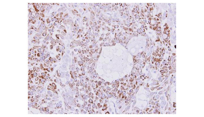
- Immunohistochemistry [1]
Submit
Validation data
Reference
Comment
Report error
- Product number
- ABIN2157150 - Provider product page

- Provider
- antibodies-online
- Product name
- anti-Creatine Kinase, Mitochondrial 1A (CKMT1A) antibody
- Antibody type
- Polyclonal
- Antigen
- Other
- Description
- Purified by antigen-affinity chromatography.
- Reactivity
- Human
- Host
- Rabbit
- Isotype
- IgG
- Vial size
- 100 μL
- Storage
- Keep as concentrated solution. Aliquot and store at -20°C or below.
- Handling
- Avoid multiple freeze-thaw cycles.
No comments: Submit comment
Supportive validation
- Submitted by
- antibodies-online (provider)
- Main image

- Experimental details
- Image(s): Western Blotting
Supportive validation
- Submitted by
- antibodies-online (provider)
- Main image

- Experimental details
- Image(s): Immunohistochemistry